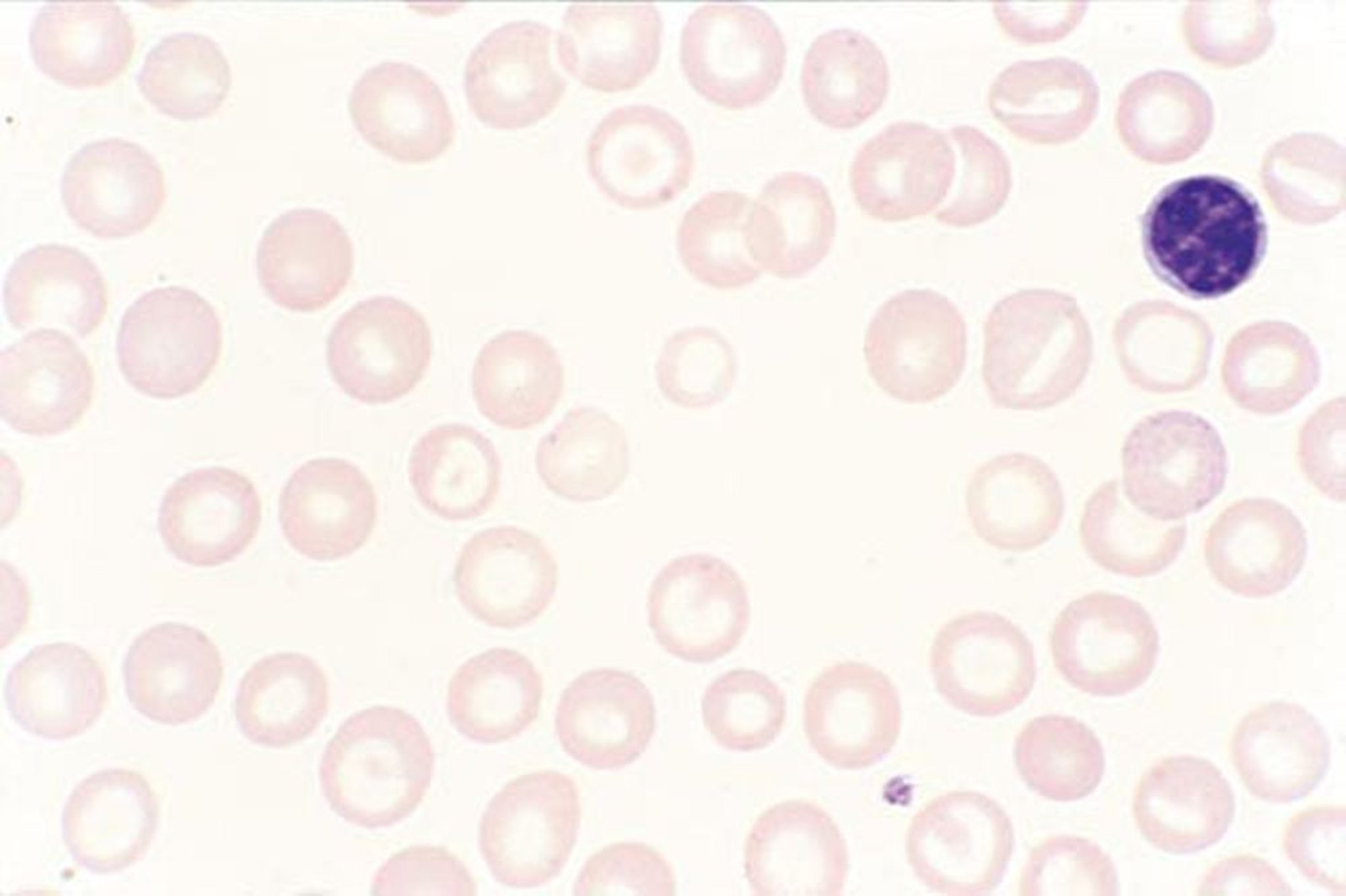
Macrocitose na doença hepática
Esta imagem mostra a anemia macrocítica não nutritional que não é induzida por drogas. Morfologia arredondada das eritrócitos, ao contrário de macrocitose oval, sugere doença hepática; as células-alvo são também evidentes.
By permission of the publisher. From Tefferi A, Li C. In Atlas of Clinical Hematology. Edited by JO Armitage. Philadelphia, Current Medicine, 2004.
Nesses tópicos
