Luxação perilunar
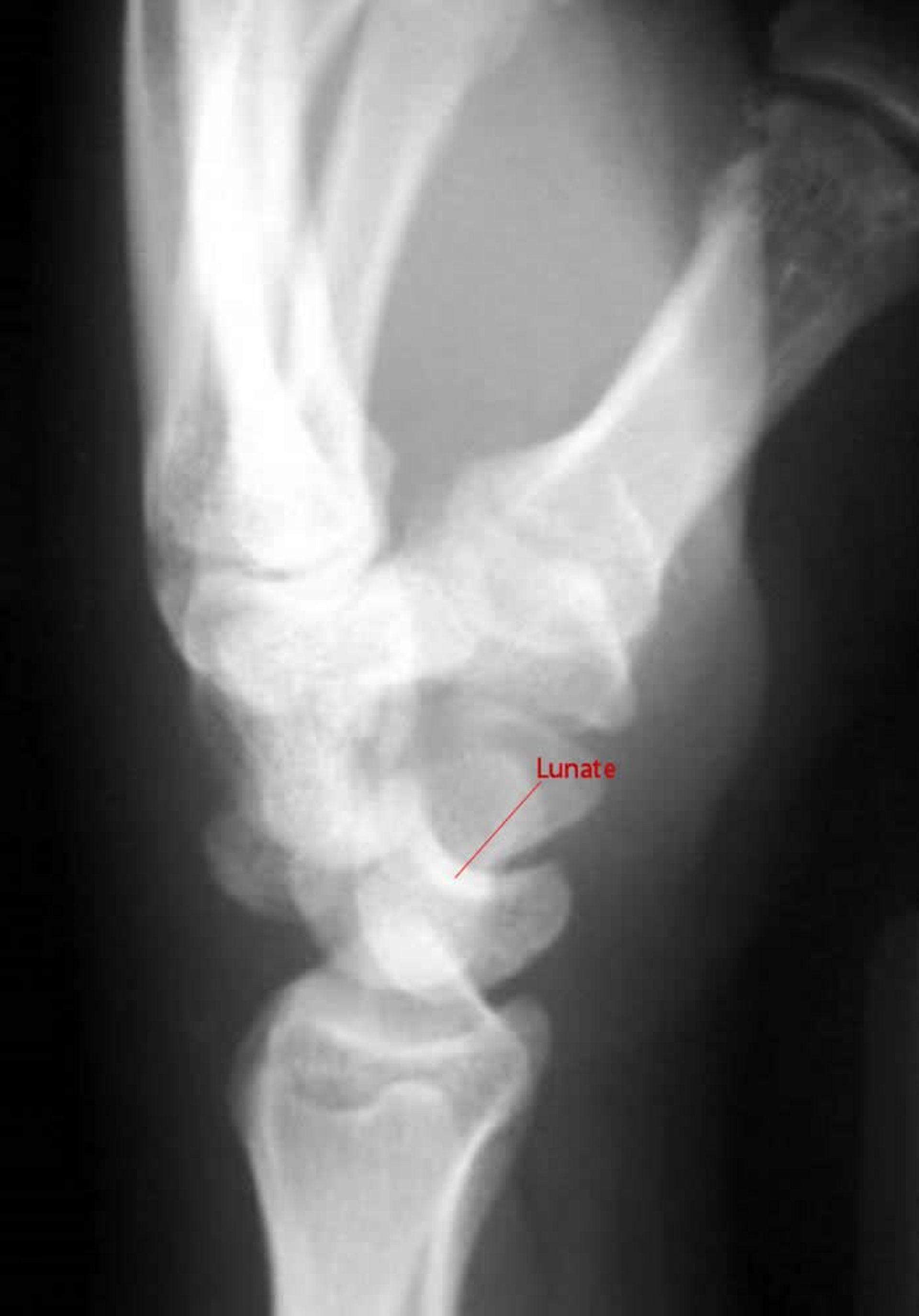
Na incidência lateral de uma luxação perilunar, o capitato não se articula com o semilunar.
Imagem cedida por cortesia de Danielle Campagne, MD.
Nesses tópicos
Na incidência lateral de uma luxação perilunar, o capitato não se articula com o semilunar.
Imagem cedida por cortesia de Danielle Campagne, MD.