Lesão cutânea (pústula)
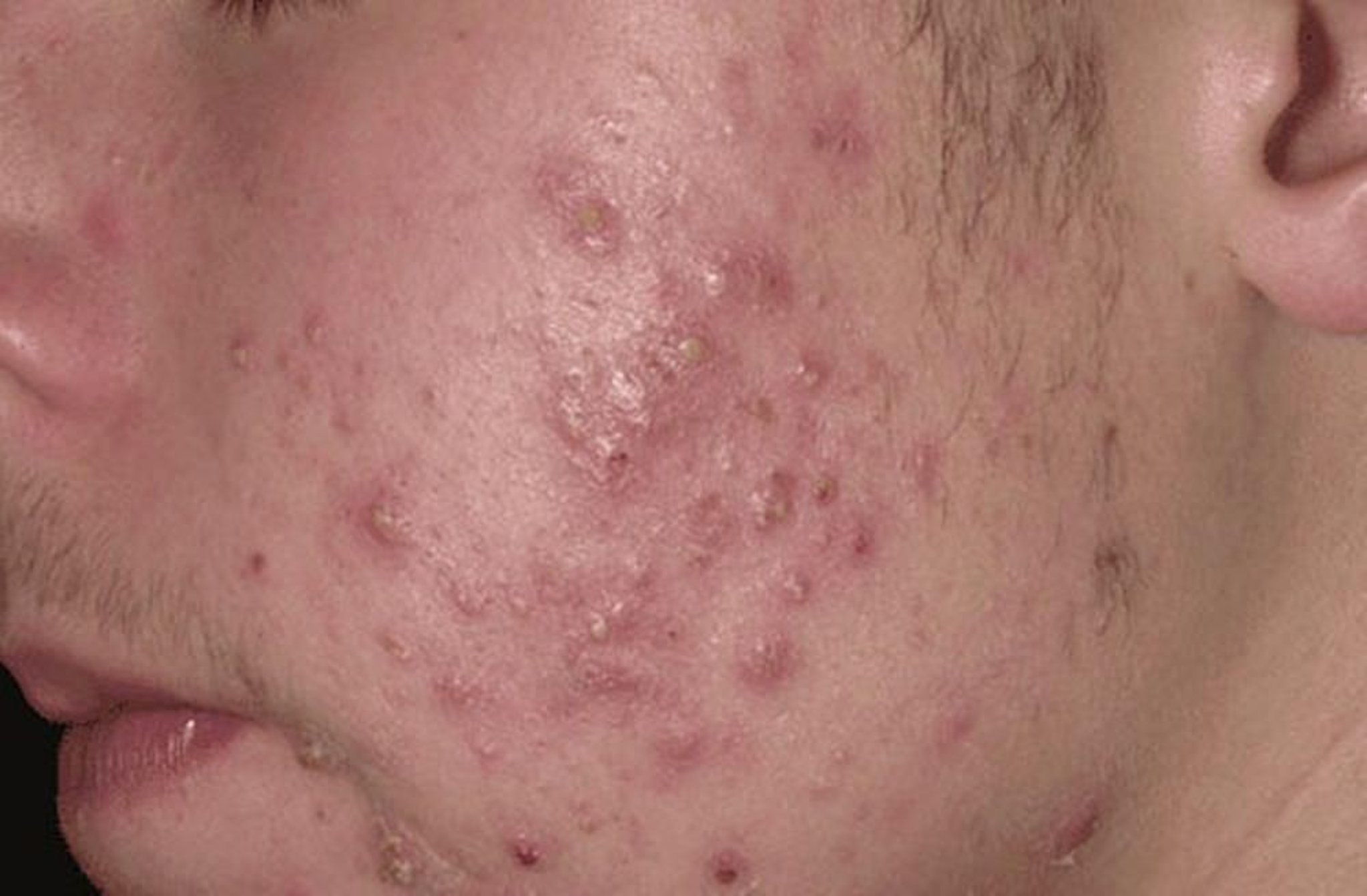
Pústulas são lesões elevadas, normalmente com pontas amarelas que contêm pus. Pústulas esparsas aparecem na face dessa pessoa com acne.
Foto fornecida por Thomas Habif, MD.
Nesses tópicos
Pústulas são lesões elevadas, normalmente com pontas amarelas que contêm pus. Pústulas esparsas aparecem na face dessa pessoa com acne.
Foto fornecida por Thomas Habif, MD.