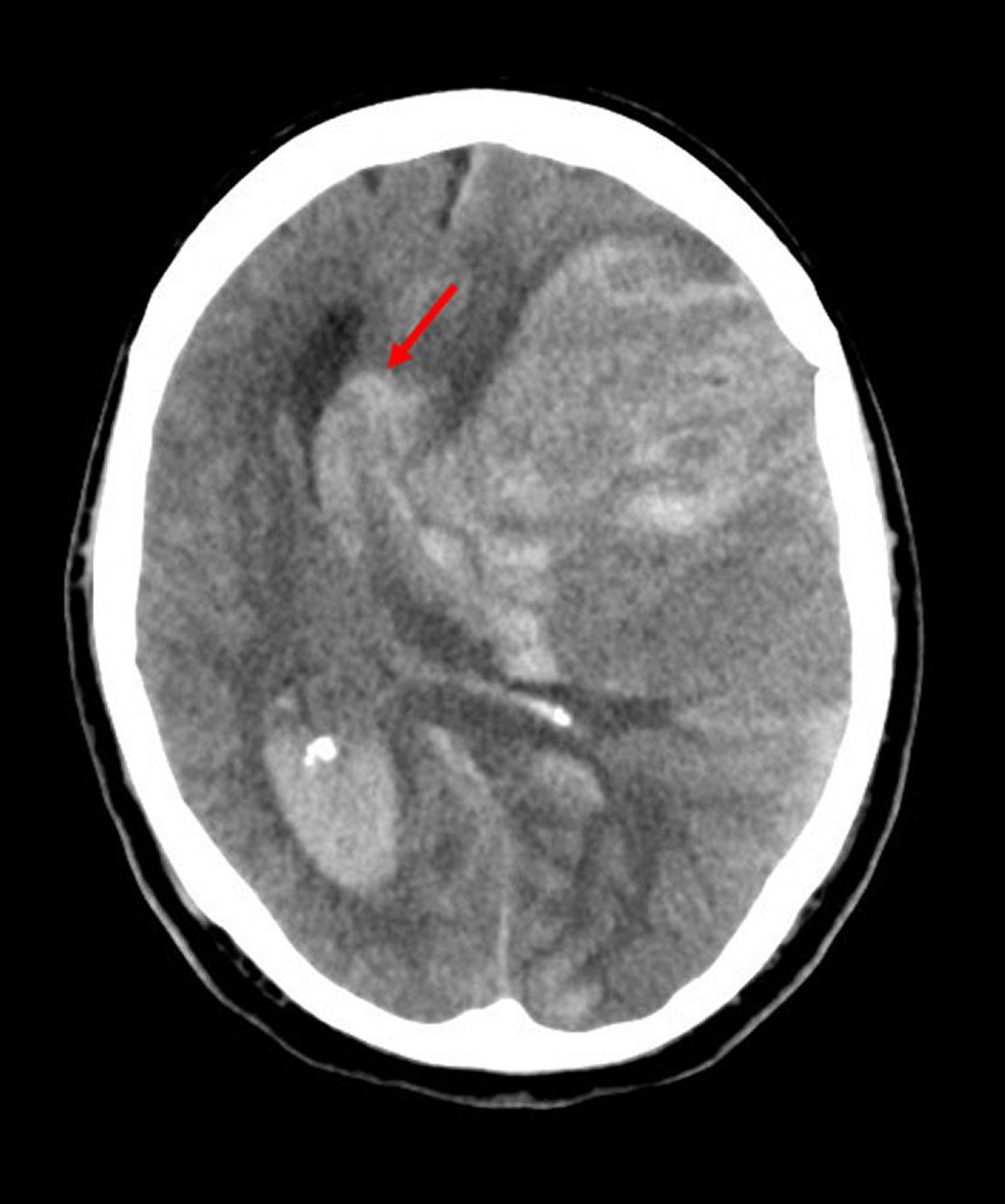
Hérnia subfalcina
Hérnia subfalcina é o tipo mais comum de hérnia cerebral. Nessa imagem, o hemisfério esquerdo herniou pela borda livre da foice cerebral (seta) devido ao sangramento de um infarto na artéria cerebral média que aumentou a pressão intracraniana.
© 2017 Elliot K. Fishman, MD.
