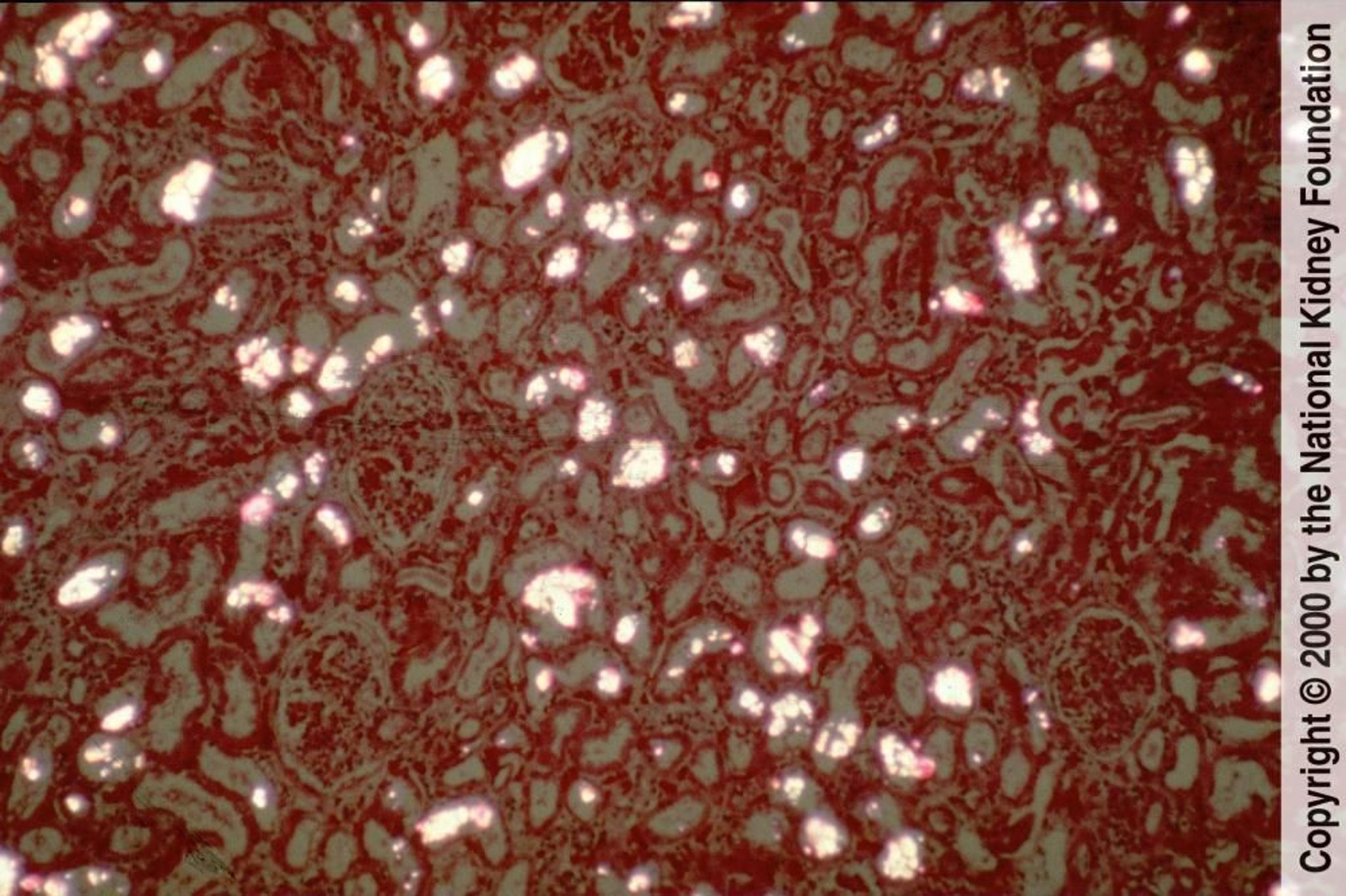
Hiperoxalúria
Os cristais de oxalato de cálcio se precipitam nos túbulos renais e são facilmente visíveis como cristais birrefringentes e em forma de leque ou feixe sob a luz polarizada (coloração hematoxilina-eosina polarizada, × 100).
Image provided by Agnes Fogo, MD, and the American Journal of Kidney Diseases' Atlas of Renal Pathology (see www.ajkd.org).
Nesses tópicos
