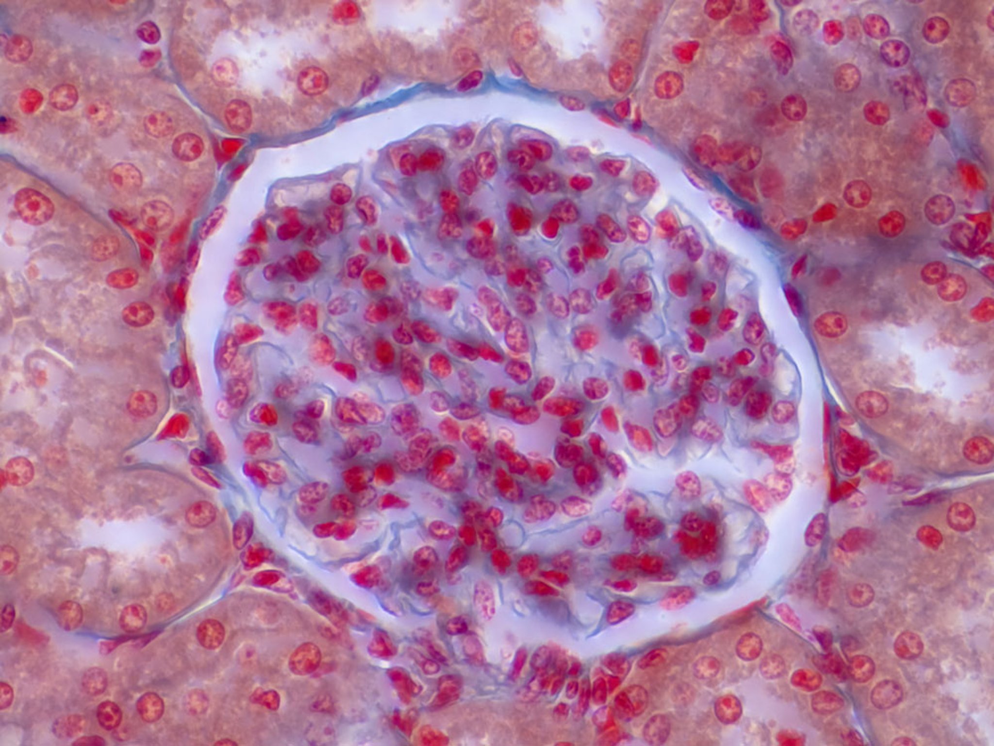
Glomérulo renal (microscopia óptica)
A figura mostra uma seção transversal de um corpúsculo renal. O glomérulo contém uma rede de capilares, que contêm os eritrócitos vistos na micrografia. Os podócitos fenestrados que cobrem os capilares não podem ser vistos aqui. O glomérulo é cercado pelo espaço de Bowman.
CHOKSAWATDIKORN / SCIENCE PHOTO LIBRARY
Nesses tópicos
