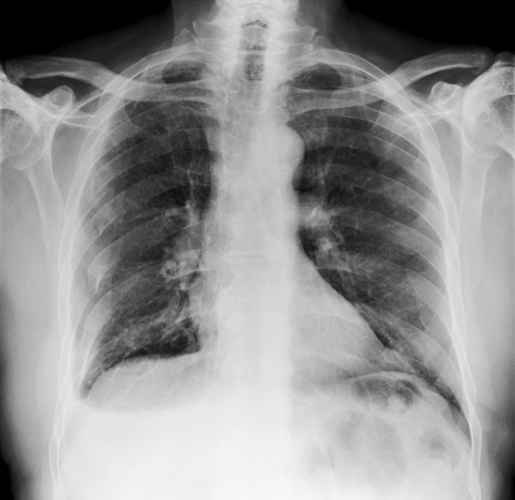
Fraturas de arcos costais
Essa radiografia do tórax mostra múltiplas fraturas nos arcos costais direitos (vistas à esquerda).
SCIENCE PHOTO LIBRARY
Nesses tópicos
Essa radiografia do tórax mostra múltiplas fraturas nos arcos costais direitos (vistas à esquerda).
SCIENCE PHOTO LIBRARY