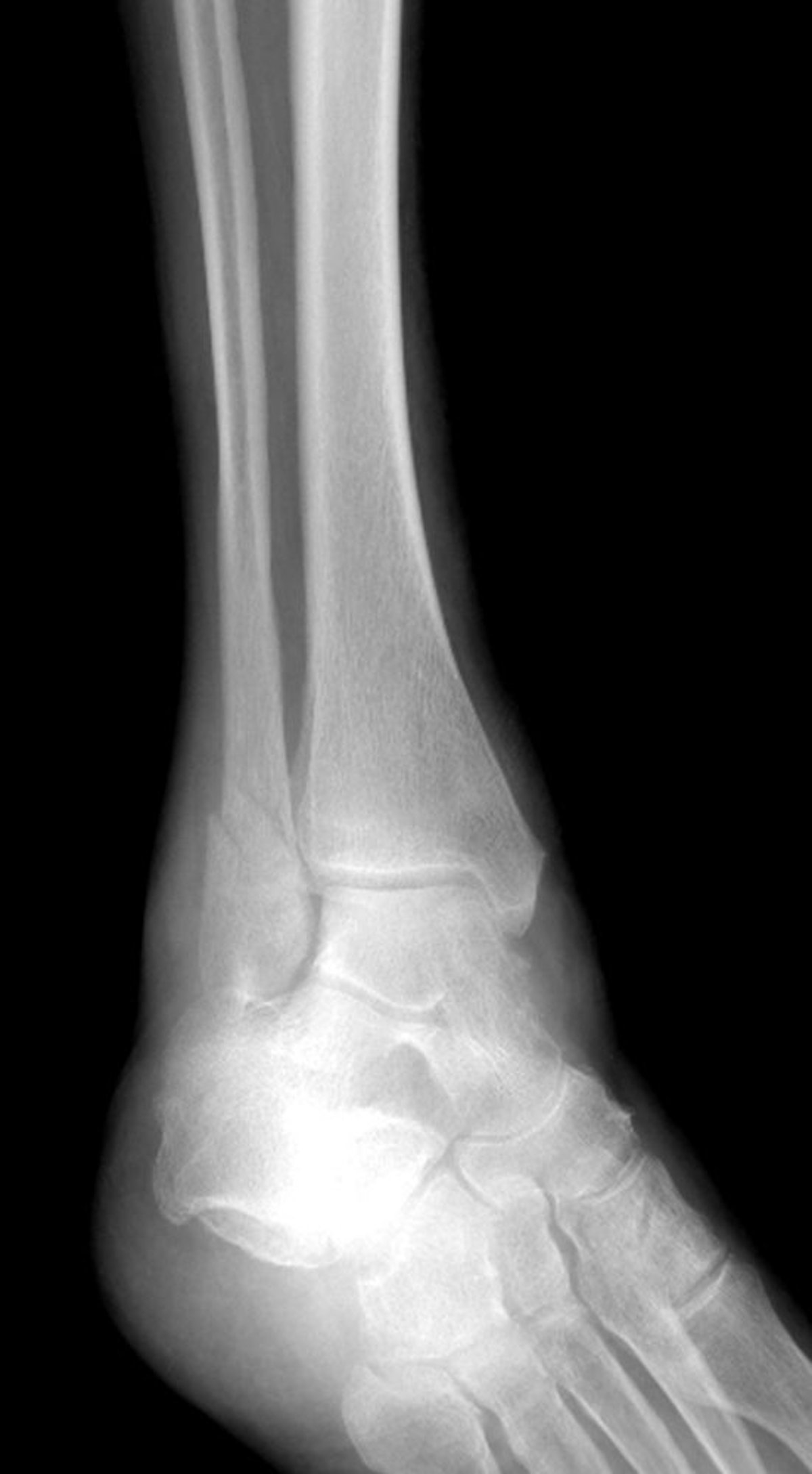
Fratura do maléolo lateral
Essa fratura do tornozelo afeta o maléolo lateral, mas poupa o maléolo medial.
LIVING ART ENTERPRISES, LLC/SCIENCE PHOTO LIBRARY
Nesses tópicos
Essa fratura do tornozelo afeta o maléolo lateral, mas poupa o maléolo medial.
LIVING ART ENTERPRISES, LLC/SCIENCE PHOTO LIBRARY