Fibroelastose pleuroparenquimatosa idiopática
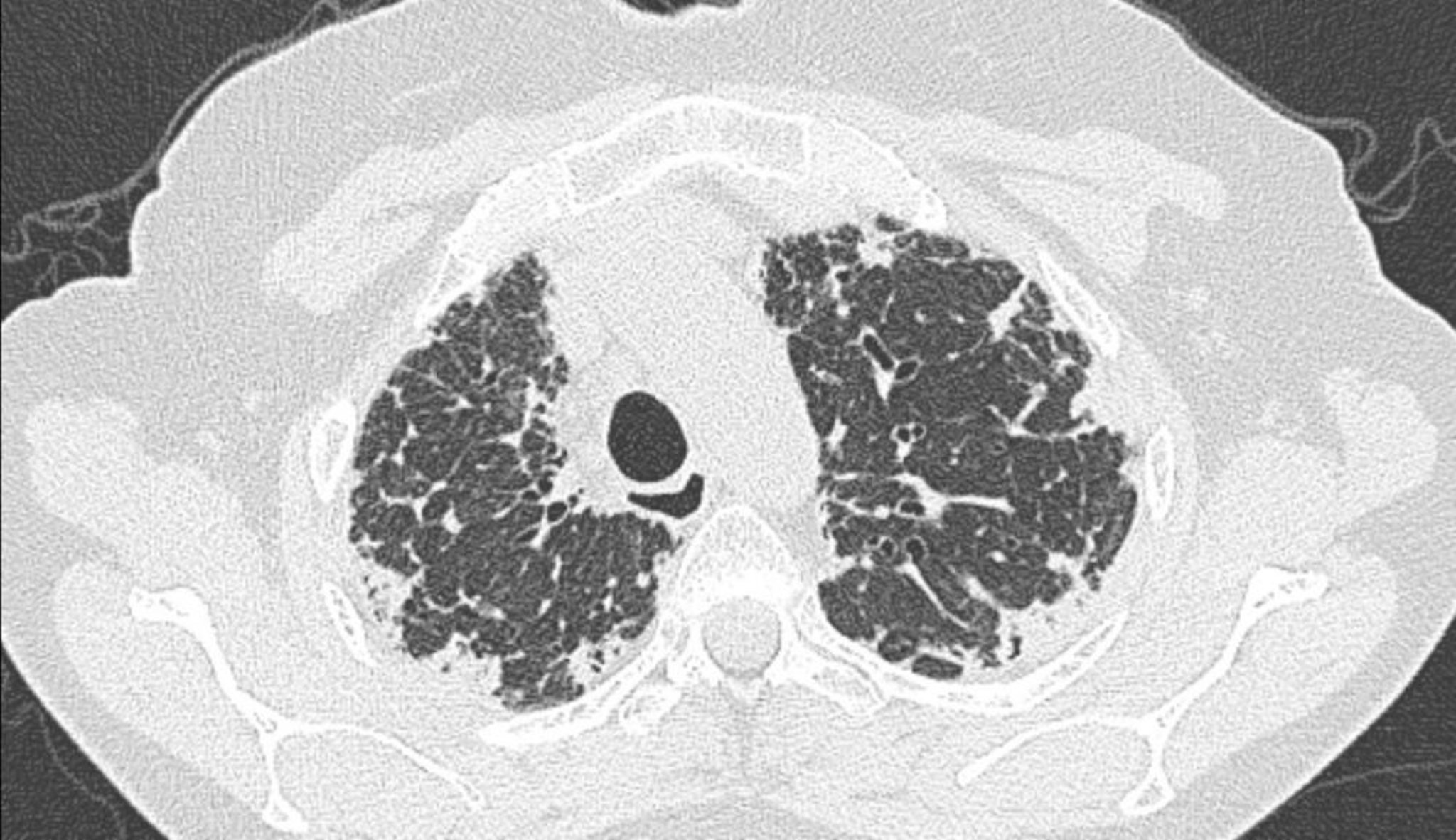
TC do tórax mostra espessamento pleural e subpleural.
Imagem cedida por cortesia de Joyce S. Lee, MD, MAS.
Nesses tópicos
TC do tórax mostra espessamento pleural e subpleural.
Imagem cedida por cortesia de Joyce S. Lee, MD, MAS.