Exames de imagem abdominais (cálculos biliares)
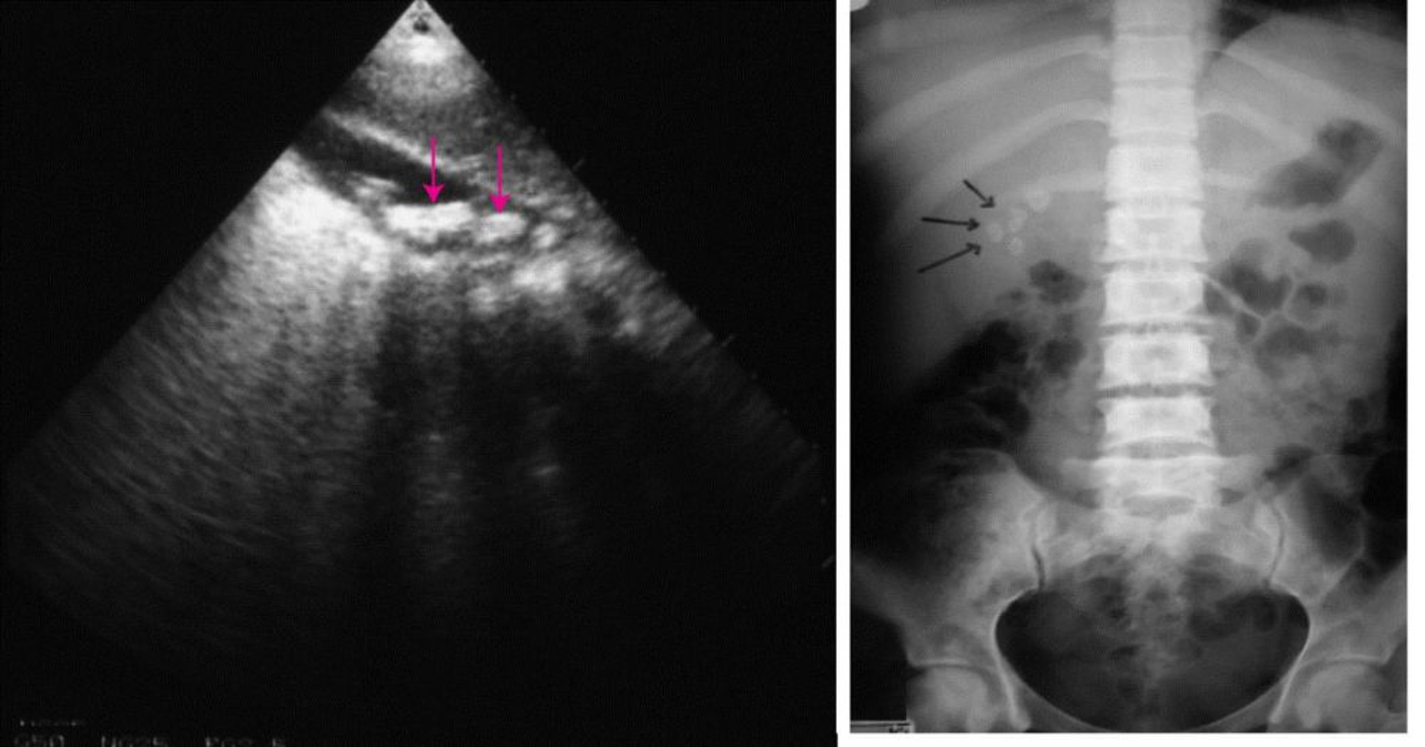
À esquerda, ultrassom abdominal mostrando vários cálculos biliares (setas). À direita, raio-x abdominal simples mostrando cálculos biliares radiopacos (setas).
© Springer Science+Business Media
À esquerda, ultrassom abdominal mostrando vários cálculos biliares (setas). À direita, raio-x abdominal simples mostrando cálculos biliares radiopacos (setas).
© Springer Science+Business Media