Esporão calcâneo
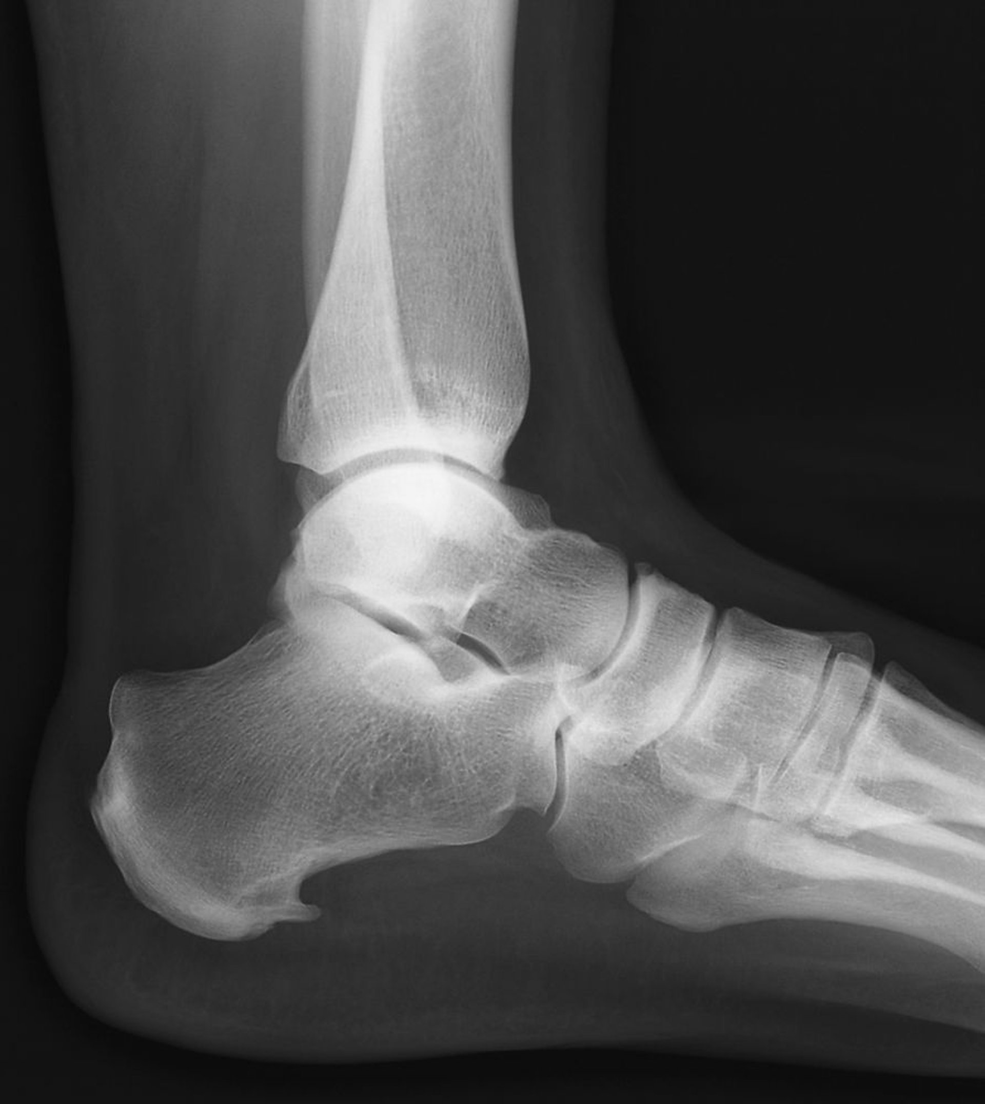
Esporão calcâneo é uma exostose óssea que se estende para a frente na parte inferior do calcanhar.
ZEPHYR/SCIENCE PHOTO LIBRARY
Nesses tópicos
Esporão calcâneo é uma exostose óssea que se estende para a frente na parte inferior do calcanhar.
ZEPHYR/SCIENCE PHOTO LIBRARY