Esofagografia com contraste hidrossolúvel
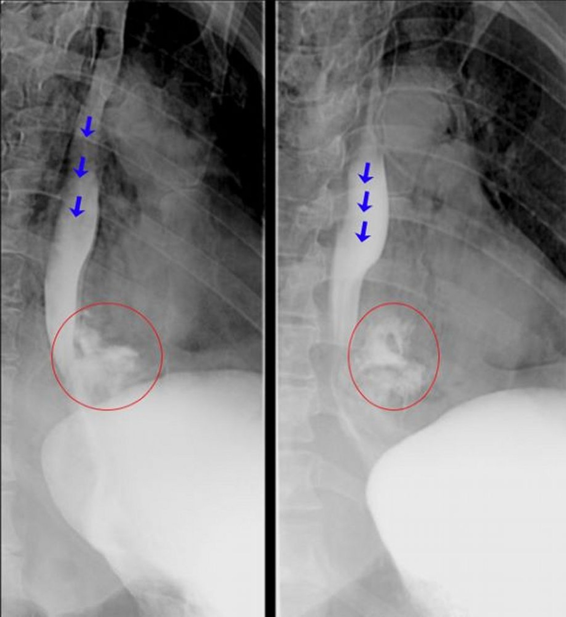
Esses esofagogramas fluoroscópicos mostram extravasamento franco do material de contraste pelo esôfago distal, consistente com perfuração esofágica. As setas azuis destacam o material de contraste no interior do lúmen do esôfago. Os círculos vermelhos destacam o material de contraste que extravasou para fora do esôfago.
© Springer Science+Business Media
Nesses tópicos
