Esofagite por Herpes simplex
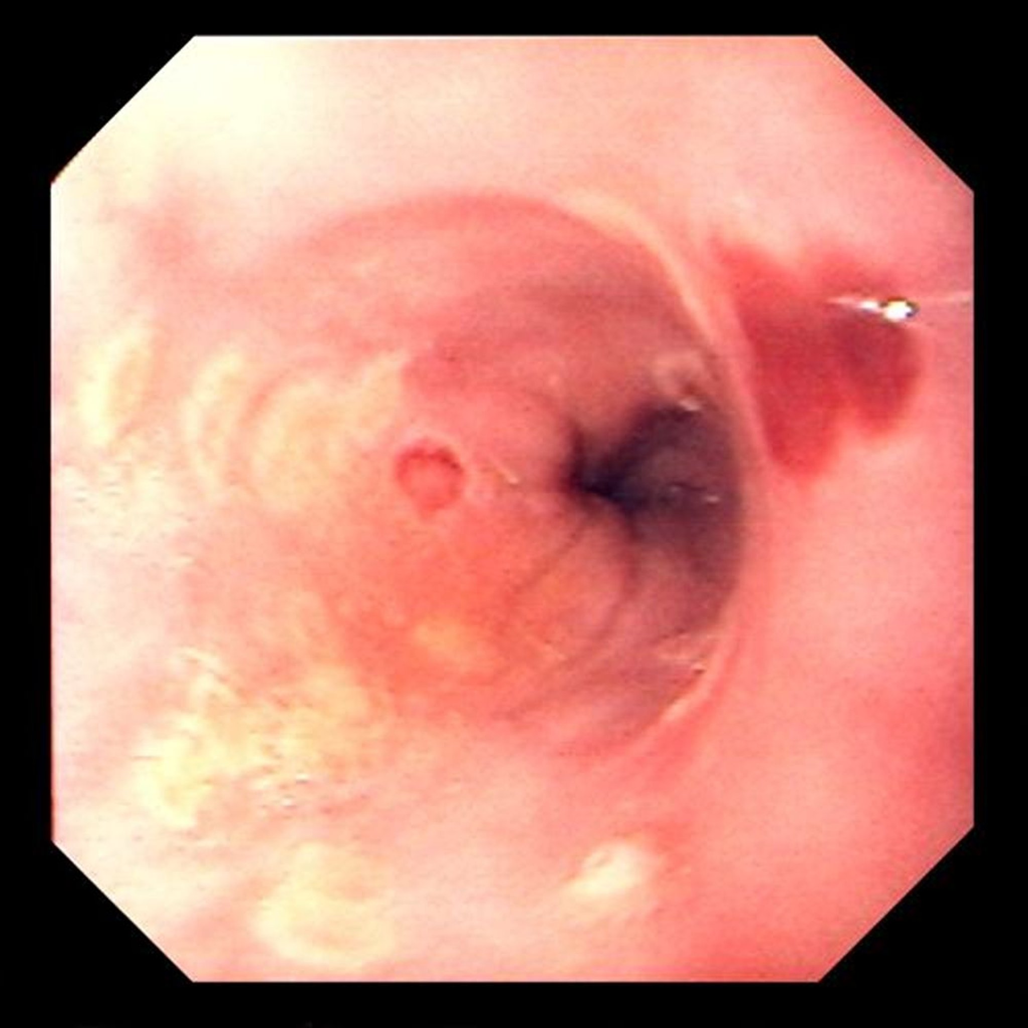
As ulcerações focais são típicas da esofagite pelo vírus da herpes simples.
Image provided by David M. Martin, MD.
Nesses tópicos
As ulcerações focais são típicas da esofagite pelo vírus da herpes simples.
Image provided by David M. Martin, MD.