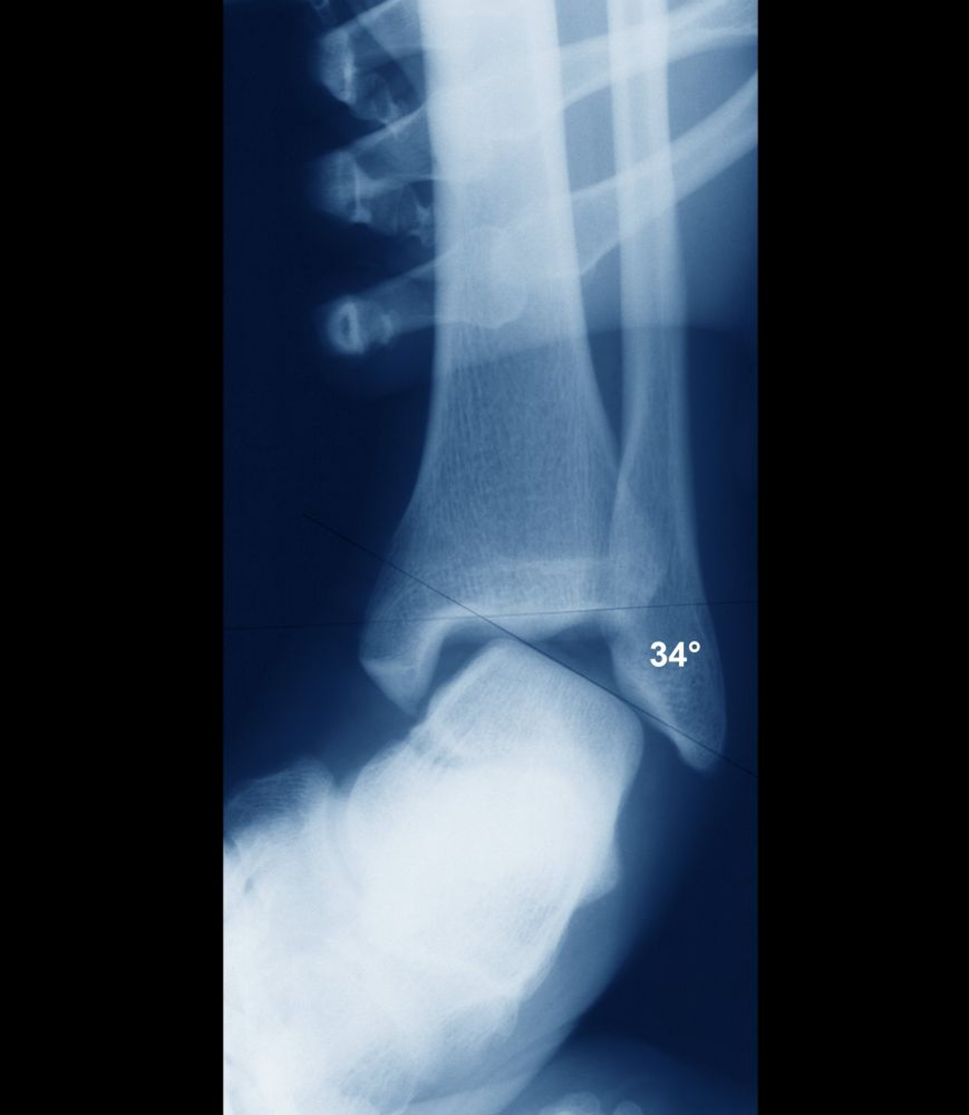
Entorse do tornozelo com instabilidade
Se o tornozelo estiver estável, as superfícies intra-articulares do talo e da tíbia devem estar paralelas. Aqui elas estão significativamente desalinhadas, indicando instabilidade articular flagrante. A instabilidade seria de evidente clinicamente, e a instabilidade costuma ser avaliada clinicamente, sem a necessidade de radiografias.
ZEPHYR/SCIENCE PHOTO LIBRARY
Nesses tópicos
