honeypot link
skip to main content
Profissionais
Doentes
Manual MSD
Versão para Profissionais de Saúde
ASSUNTOS MÉDICOS
RECURSOS
COMENTÁRIO
PROCEDIMENTOS
TESTES
SOBRE
ASSUNTOS MÉDICOS
RECURSOS
<
Imagens
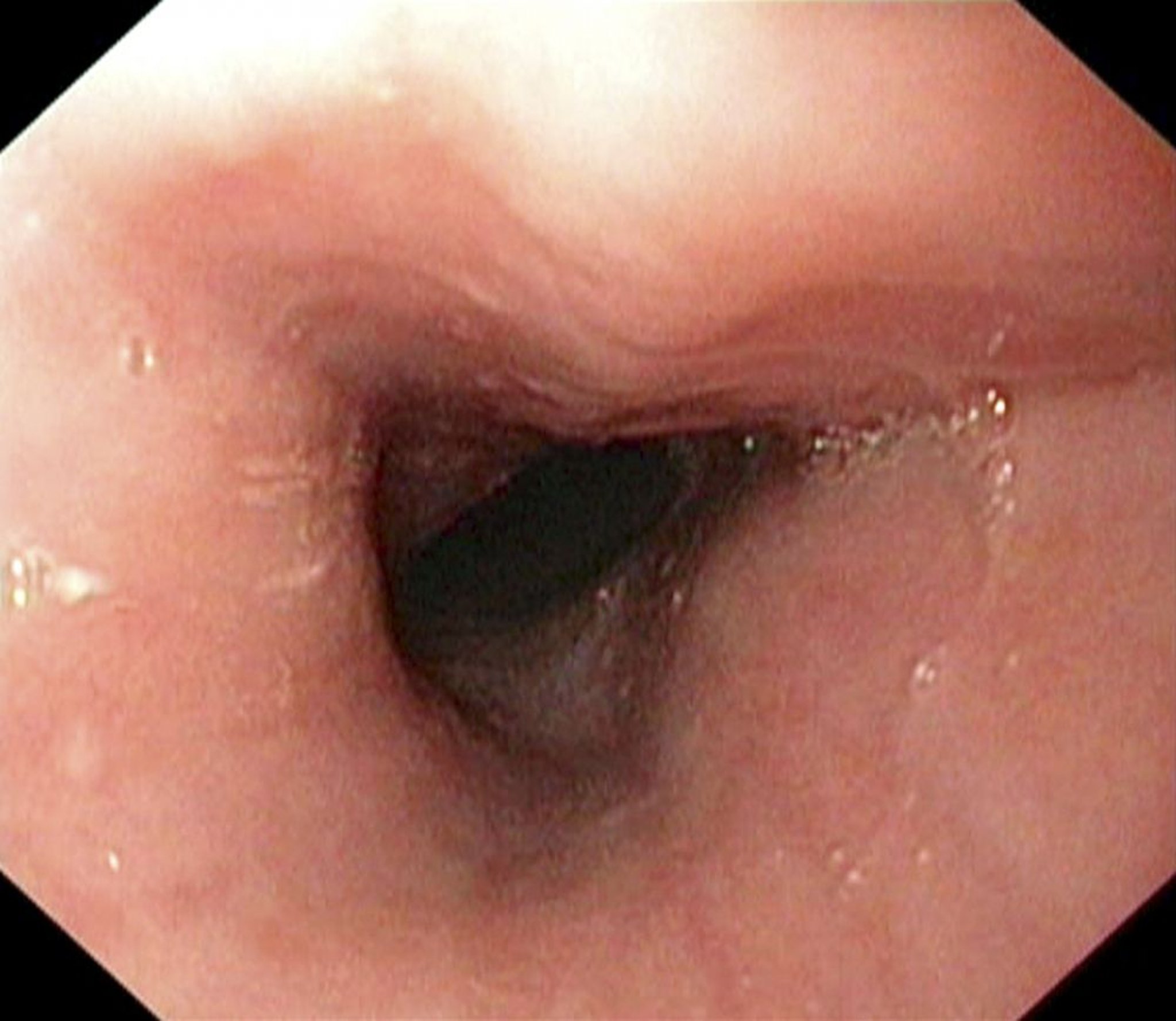
Endoscopia (esôfago)
Esta foto mostra a visualização endoscópica de um esôfago normal.
GASTROLAB/SCIENCE PHOTO LIBRARY
Nesses tópicos
Endoscopia
>