Doença pulmonar obstrutiva crônica (radiografia de tórax)
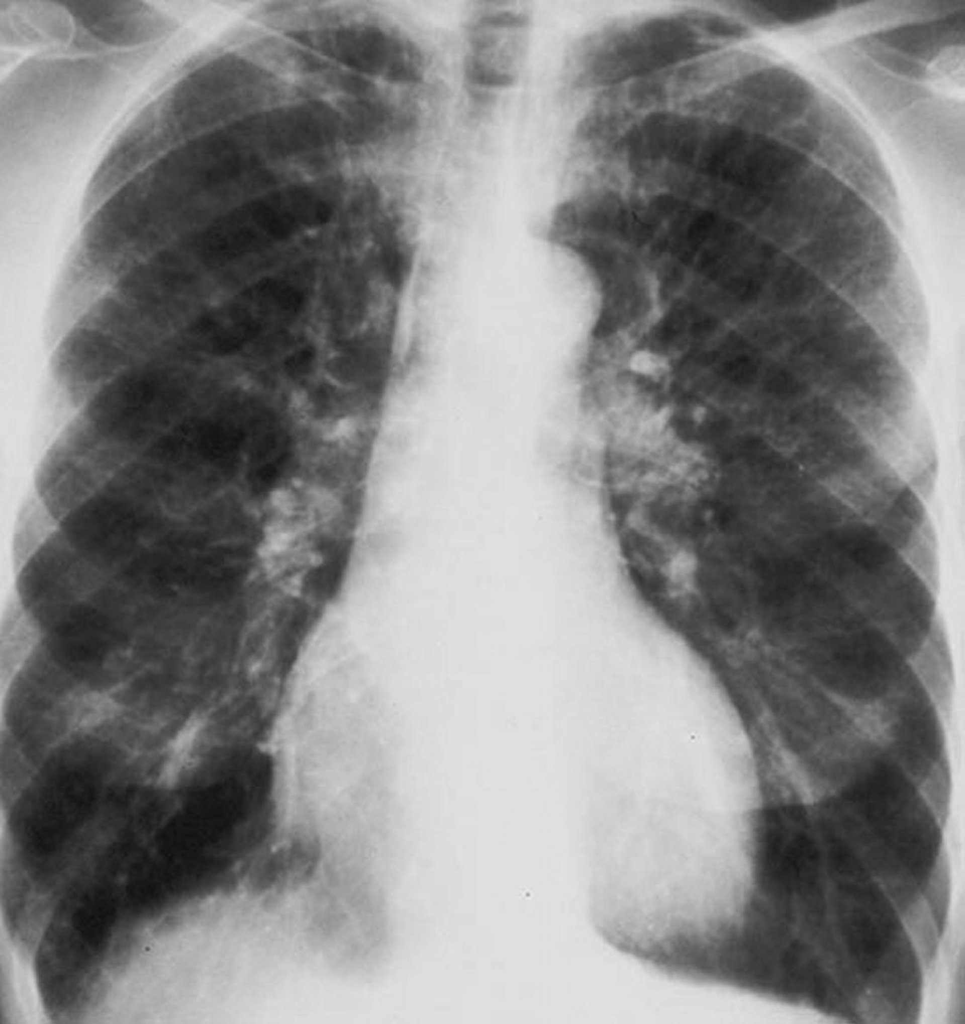
Radiografia de tórax de um paciente com doença pulmonar obstrutiva crônica (DPOC). Os pulmões estão hiperinsuflados, o diafragma retificado, a trama vascular aumentada e o tamanho do coração discretamente aumentado.
By permission of the publisher. From Barnes P. In Bone's Atlas of Pulmonary and Critical Care Medicine. Edited by J Crapo. Philadelphia, Current Medicine, 2005.
Nesses tópicos
