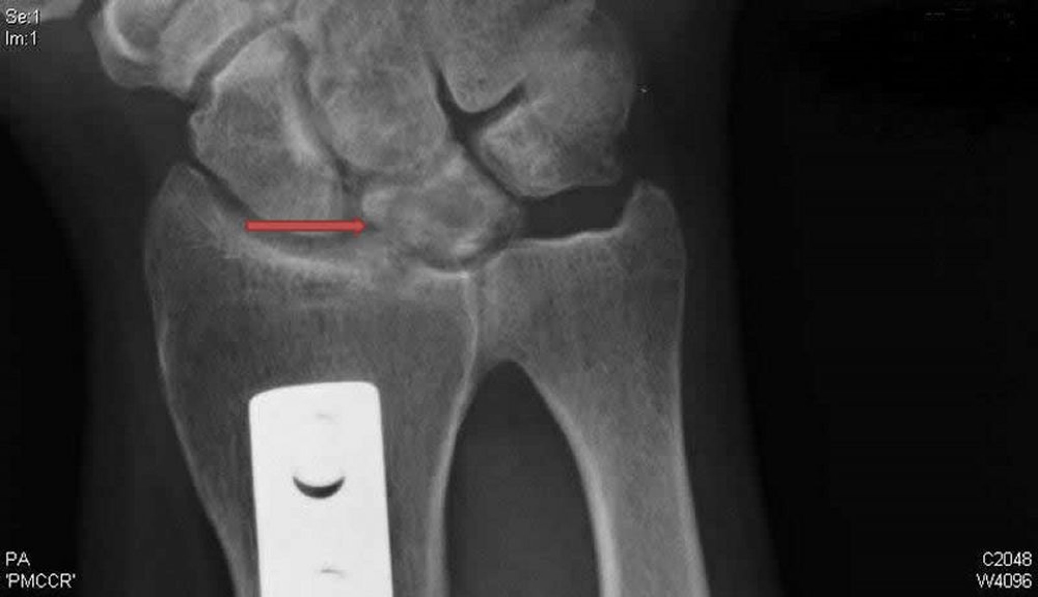
Doença de Kienböck (radiografia em incidência posteroanterior)
Essa radiografia posteroanterior do punho direito mostra cistos e esclerose do osso lunar (seta) típicos da doença de Kienböck. A placa de metal é evidência de uma osteotomia de encurtamento radial feita na tentativa de liberar o semilunar e potencialmente tratar essa doença.
Radiografia, cortesia de David R. Steinberg, MD.
Nesses tópicos
