Doença de Kienböck (radiografia em incidência oblíqua)
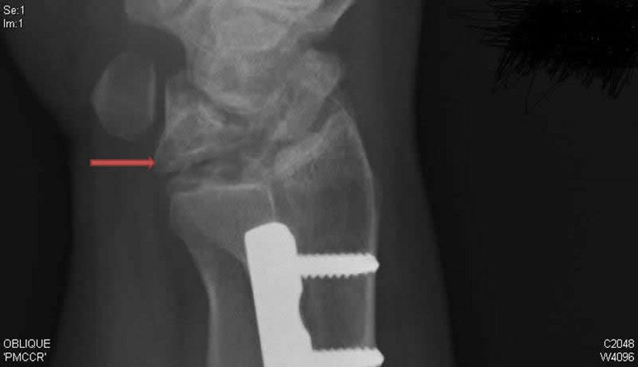
Essa radiografia oblíqua do punho direito mostra doença de Kienböck. Observar o colapso e a fragmentação do osso semilunar (seta), que não estavam aparentes na incidência posteroanterior.
Radiografia, cortesia de David R. Steinberg, MD.
Nesses tópicos
