Doença do legionário (radiografia do tórax)
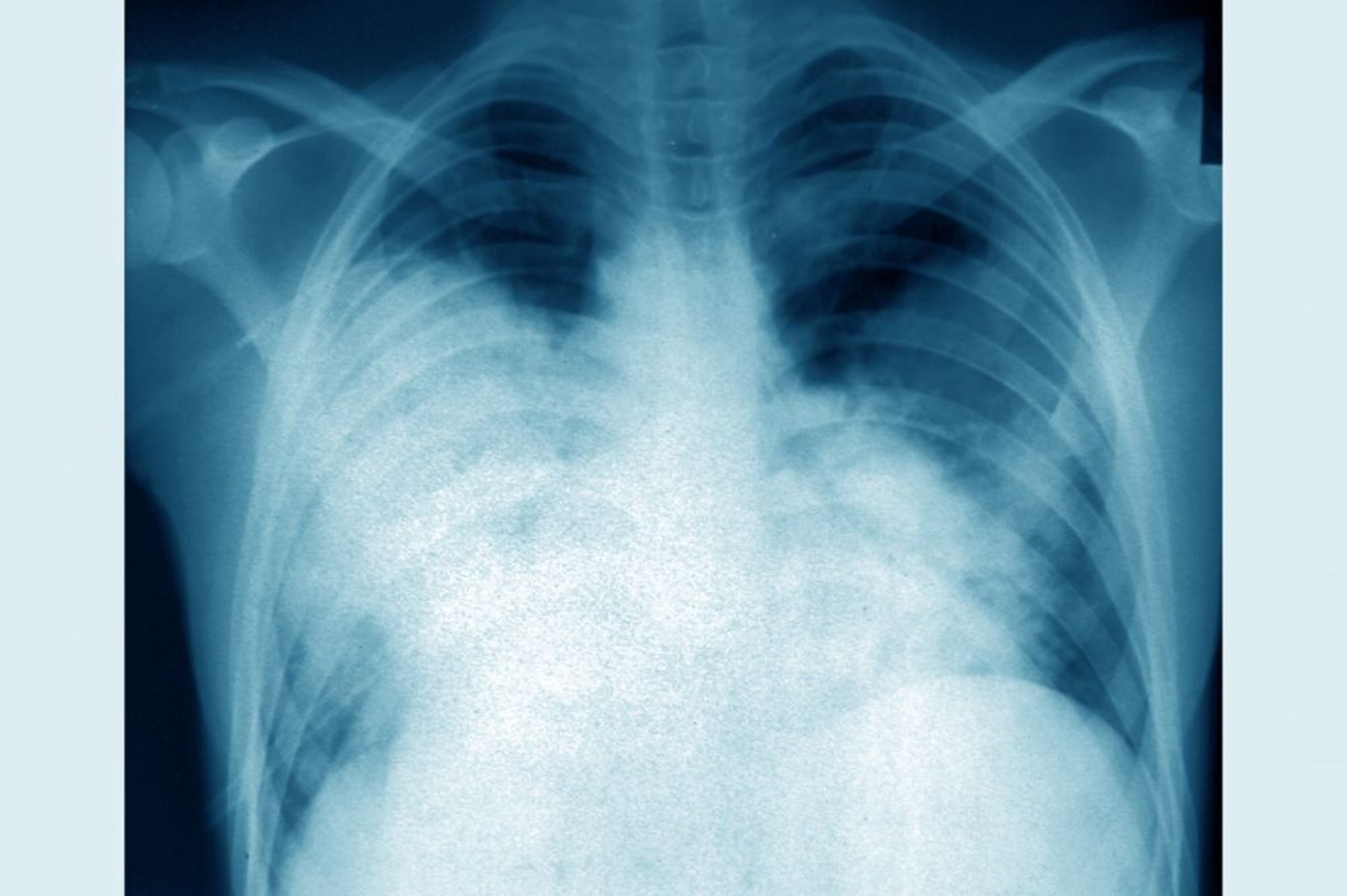
Essa radiografia de tórax frontal mostra pneumonia bilateral aguda (legionelose causada por Legionella pneumophila).
CAVALLINI JAMES/BSIP/SCIENCE PHOTO LIBRARY
Nesses tópicos
Essa radiografia de tórax frontal mostra pneumonia bilateral aguda (legionelose causada por Legionella pneumophila).
CAVALLINI JAMES/BSIP/SCIENCE PHOTO LIBRARY