Dissecção da aorta torácica (Stanford tipo B)
Imagem axial do retalho da dissecção (seta branca) na aorta torácica descendente.
© 2017 Elliot K. Fishman, MD.
Nesses tópicos
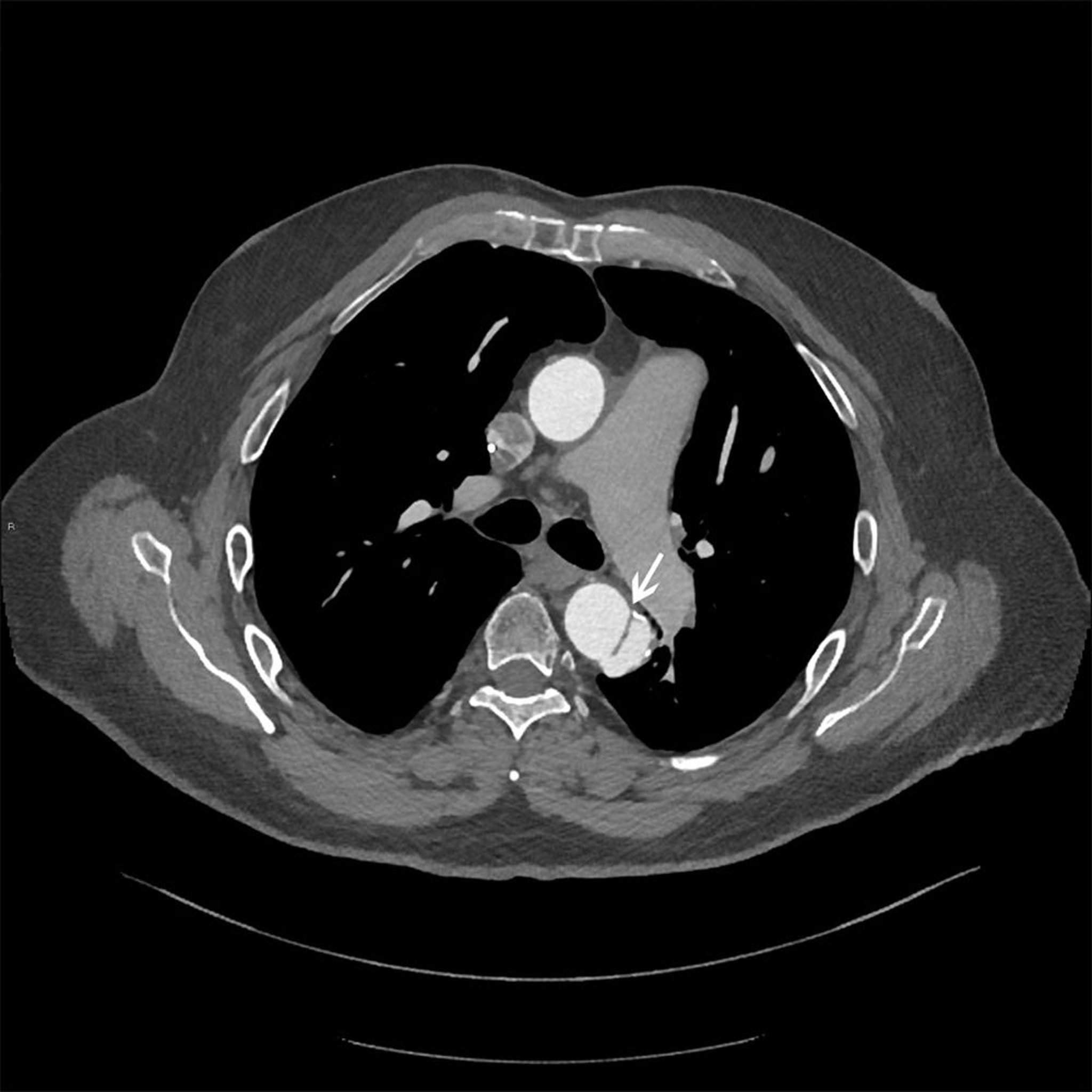
Imagem axial do retalho da dissecção (seta branca) na aorta torácica descendente.
© 2017 Elliot K. Fishman, MD.