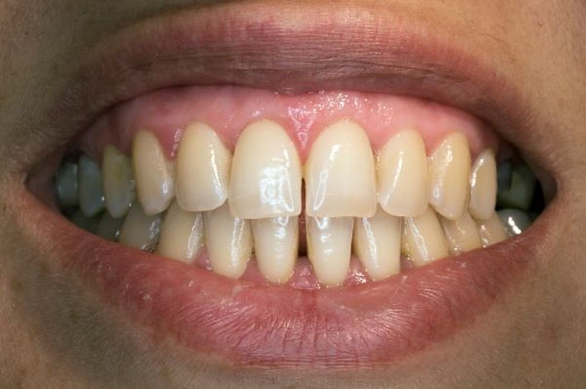
Dentes e gengivas relativamente saudáveis
A boca relativamente saudável retratada aqui mostra alguma mancha e cálculo, mas as gengivas estão saudáveis: firmes, bem adaptadas aos dentes e contornadas para formar finas papilas interdentais.
DR ARMEN TARANYAN/SCIENCE PHOTO LIBRARY
Nesses tópicos
