Criptococose (sistema nervoso central)
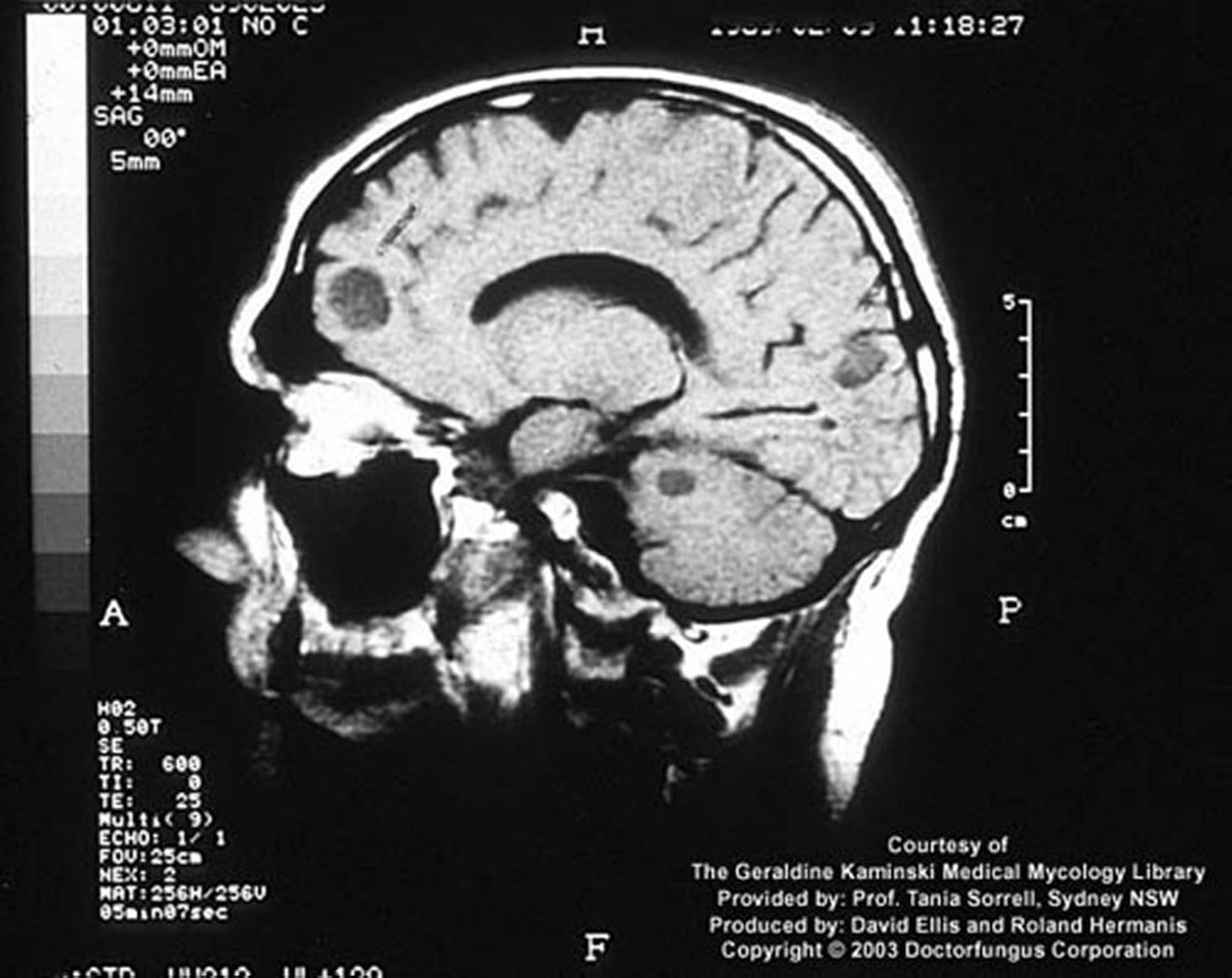
Em um hospedeiro imunocomprometido, a infecção criptocócica pode se manifestar como lesões cerebrais focais denominadas criptococomas.
Imagem cedida por cortesia de www.doctorfungus.org © 2005.
Nesses tópicos
Em um hospedeiro imunocomprometido, a infecção criptocócica pode se manifestar como lesões cerebrais focais denominadas criptococomas.
Imagem cedida por cortesia de www.doctorfungus.org © 2005.