honeypot link
skip to main content
Profissionais
Doentes
Manual MSD
Versão para Profissionais de Saúde
ASSUNTOS MÉDICOS
RECURSOS
COMENTÁRIO
PROCEDIMENTOS
TESTES
SOBRE
ASSUNTOS MÉDICOS
RECURSOS
<
Imagens
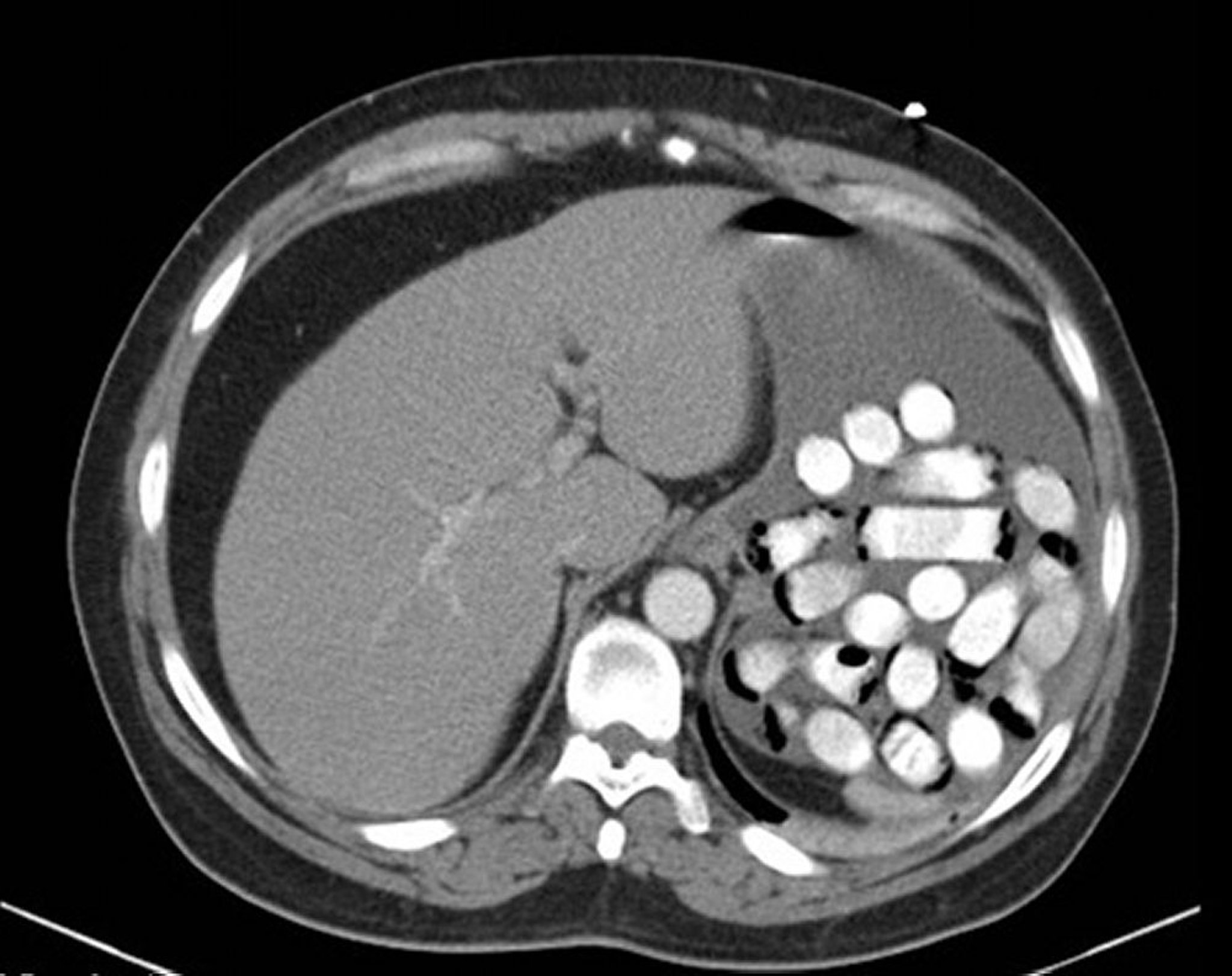
Corpo estranho gástrico (TC)
Essa imagem mostra pacotes de drogas no estômago.
Imagem fornecida por Alan Gingold, DO.
Nesses tópicos
Corpos estranhos intestinais e gástricos
>