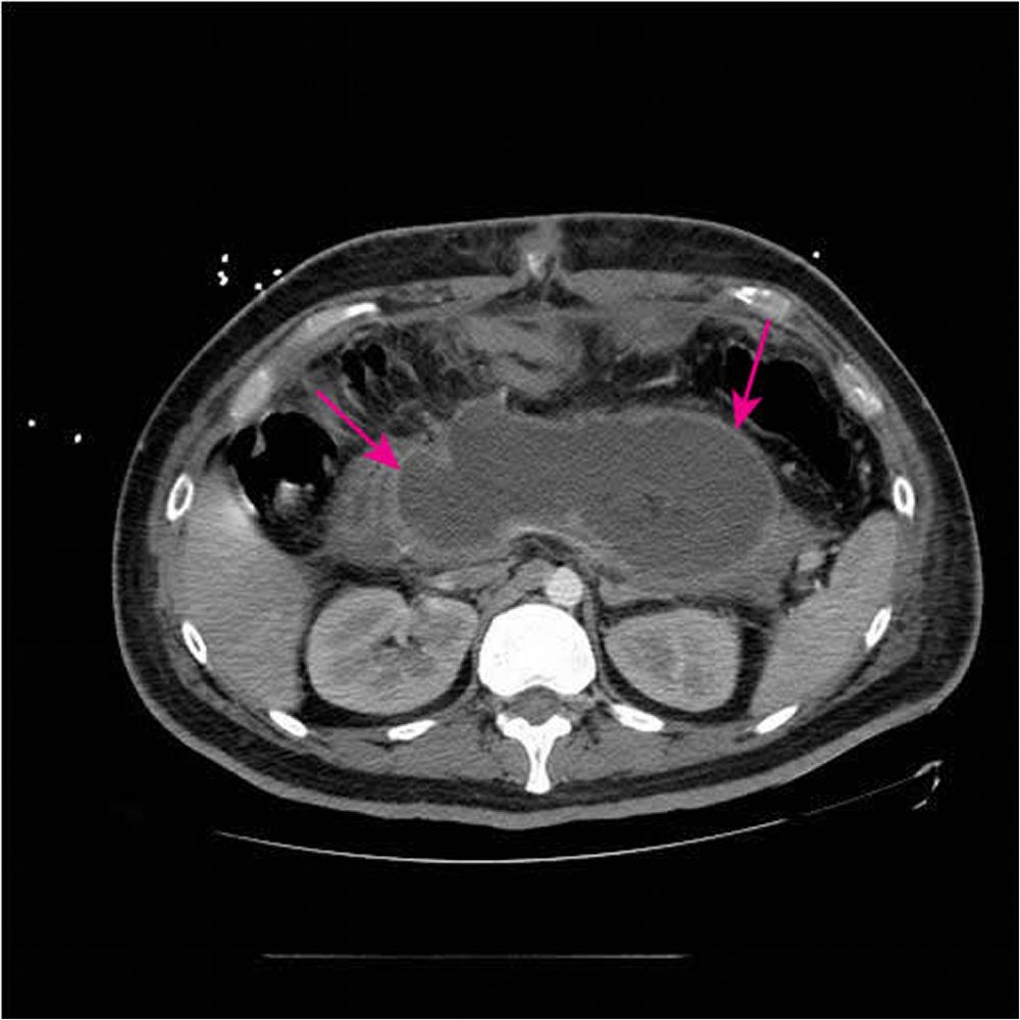
Coleção necrosante aguda
Essa TC com contraste IV e oral mostra grande coleção necrosante aguda (setas) substituindo a maior parte do tecido pancreático < 4 semanas desde a apresentação inicial de pancreatite necrosante.
Imagem cedida por cortesia de Sonam Rosberger, MD.
Nesses tópicos
