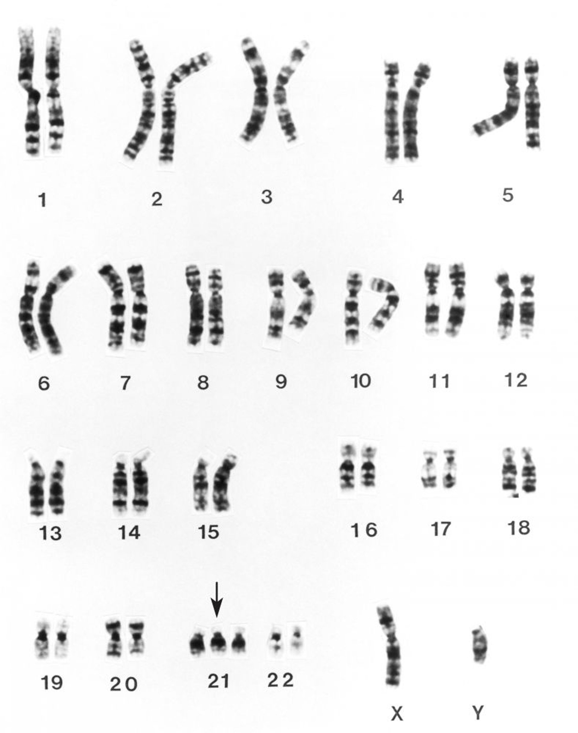
Cariótipo na síndrome de Down
Caracteriza-se a síndrome de Down por trissomia 21, que é um cromossomo 21 extra (ver seta).
L. WILLATT, EAST ANGLIAN REGIONAL GENETICS SERVICE/SCIENCE PHOTO LIBRARY
Nesses tópicos
Caracteriza-se a síndrome de Down por trissomia 21, que é um cromossomo 21 extra (ver seta).
L. WILLATT, EAST ANGLIAN REGIONAL GENETICS SERVICE/SCIENCE PHOTO LIBRARY