Carcinoma espinocelular do esôfago
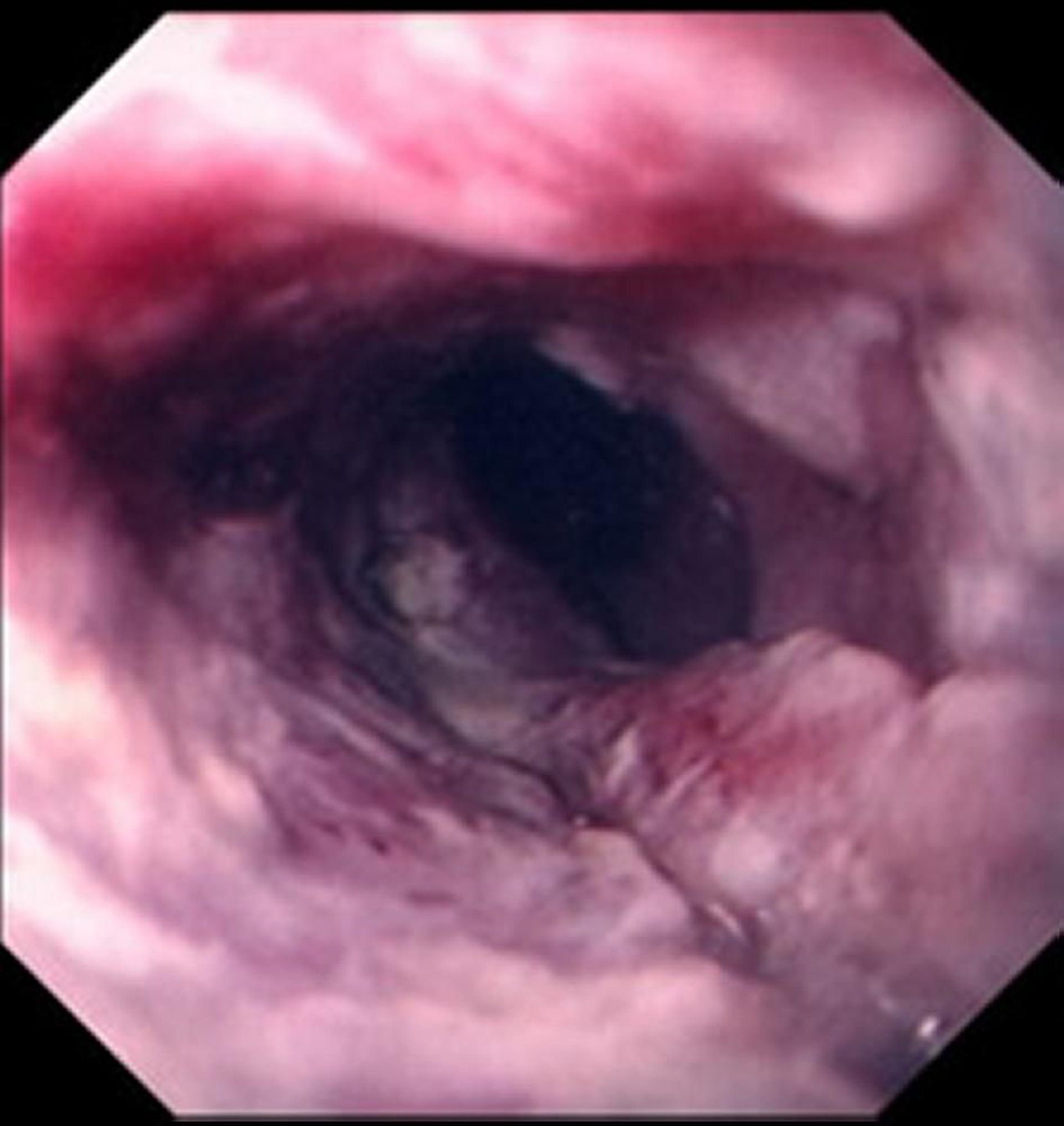
O carcinoma espinocelular do esôfago tipicamente se manifesta como uma massa ulcerada e irregular comprometendo a luz do esôfago.
Images provided by David M. Martin, MD.
Nesses tópicos
O carcinoma espinocelular do esôfago tipicamente se manifesta como uma massa ulcerada e irregular comprometendo a luz do esôfago.
Images provided by David M. Martin, MD.