Bronquiectasia (tomografia computadorizada)
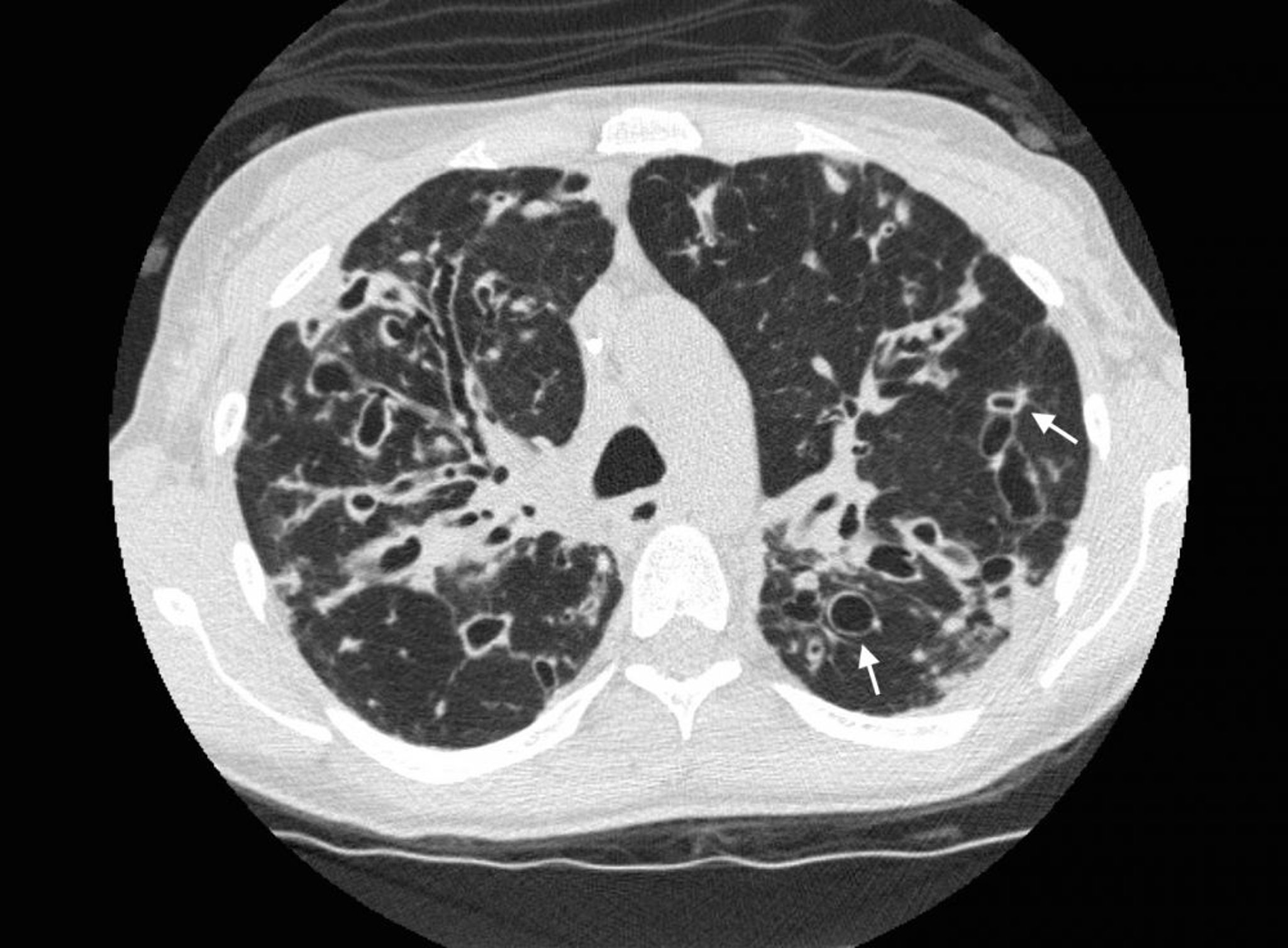
TC do tórax em um paciente com fibrose cística mostra bronquiectasias graves nos campos pulmonares superiores com dilatação das vias respiratórias e alterações císticas. As setas mostram o sinal de anel de sinete, no qual uma via respiratória dilatada (o anel) é adjacente a uma artéria menor (a parte superior do anel). Normalmente, as vias respiratórias são do mesmo tamanho ou menores que as artérias adjacentes.
Photo courtesy of Başak Çoruh, MD.
Nesses tópicos
