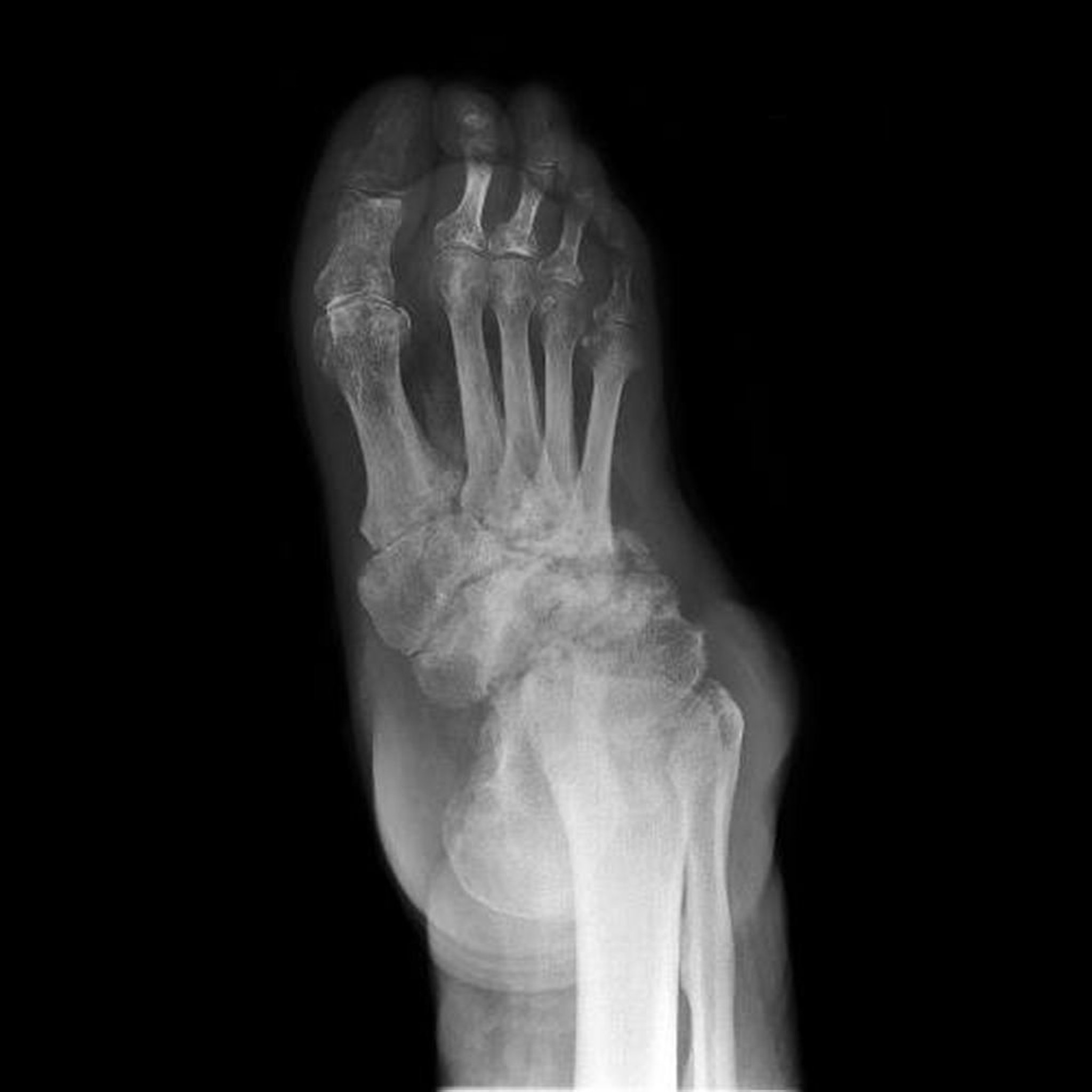
Artropatia neuropática do pé
Essa radiografia mostra artropatia neuropática do pé (também conhecida como pé de Charcot). A destruição, as deformidades e a perda dos espaços articulares dos ossos do tarso são extensas.
SCIENCE PHOTO LIBRARY
Nesses tópicos
