Apendicite aguda
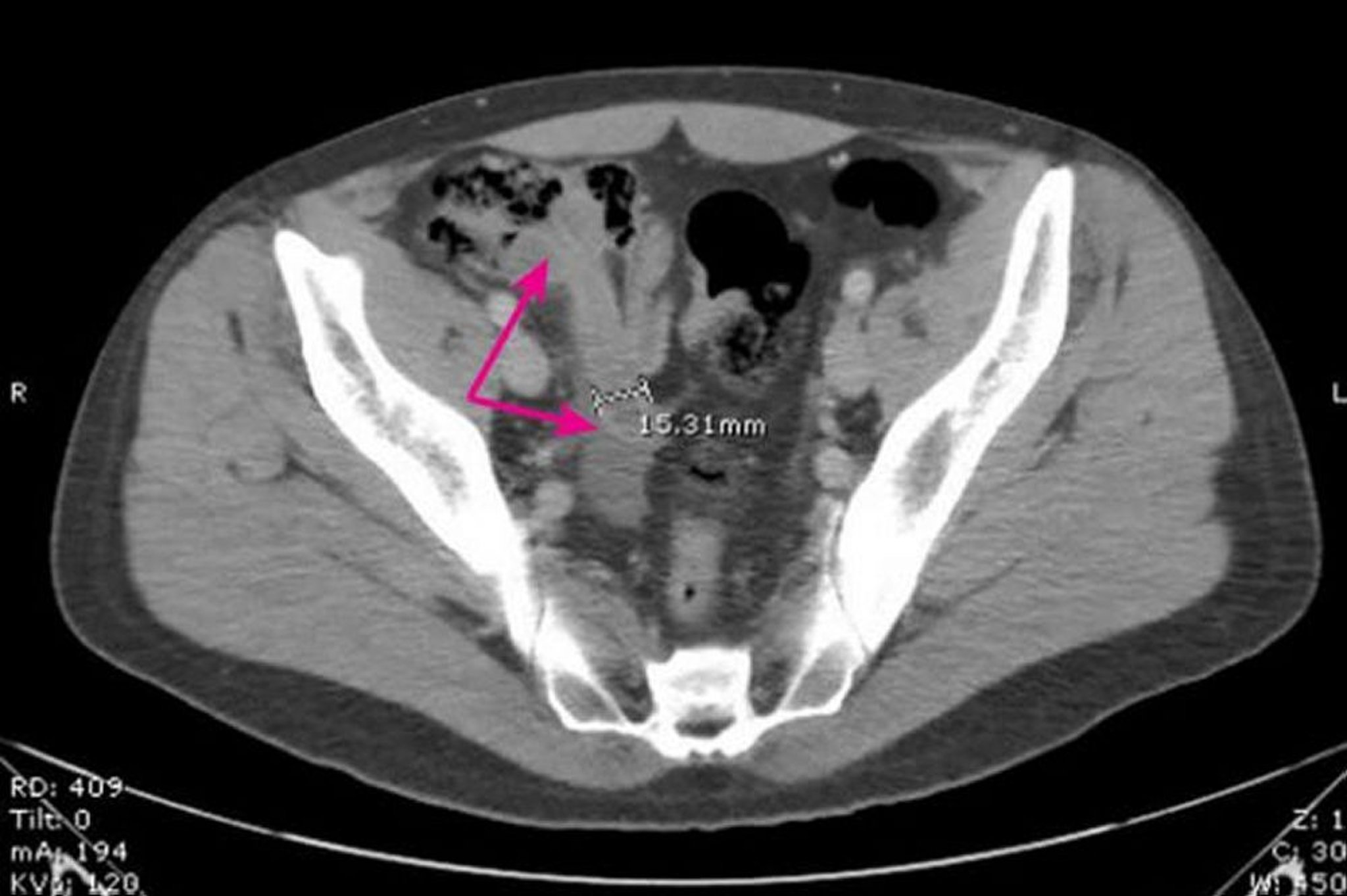
Essa imagem mostra um apêndice dilatado de paredes espessas (setas) medindo 15,31 mm de diâmetro com alterações inflamatórias circundantes.
Image provided by Parswa Ansari, MD.
Nesses tópicos
Essa imagem mostra um apêndice dilatado de paredes espessas (setas) medindo 15,31 mm de diâmetro com alterações inflamatórias circundantes.
Image provided by Parswa Ansari, MD.