Abscesso pulmonar (TC)
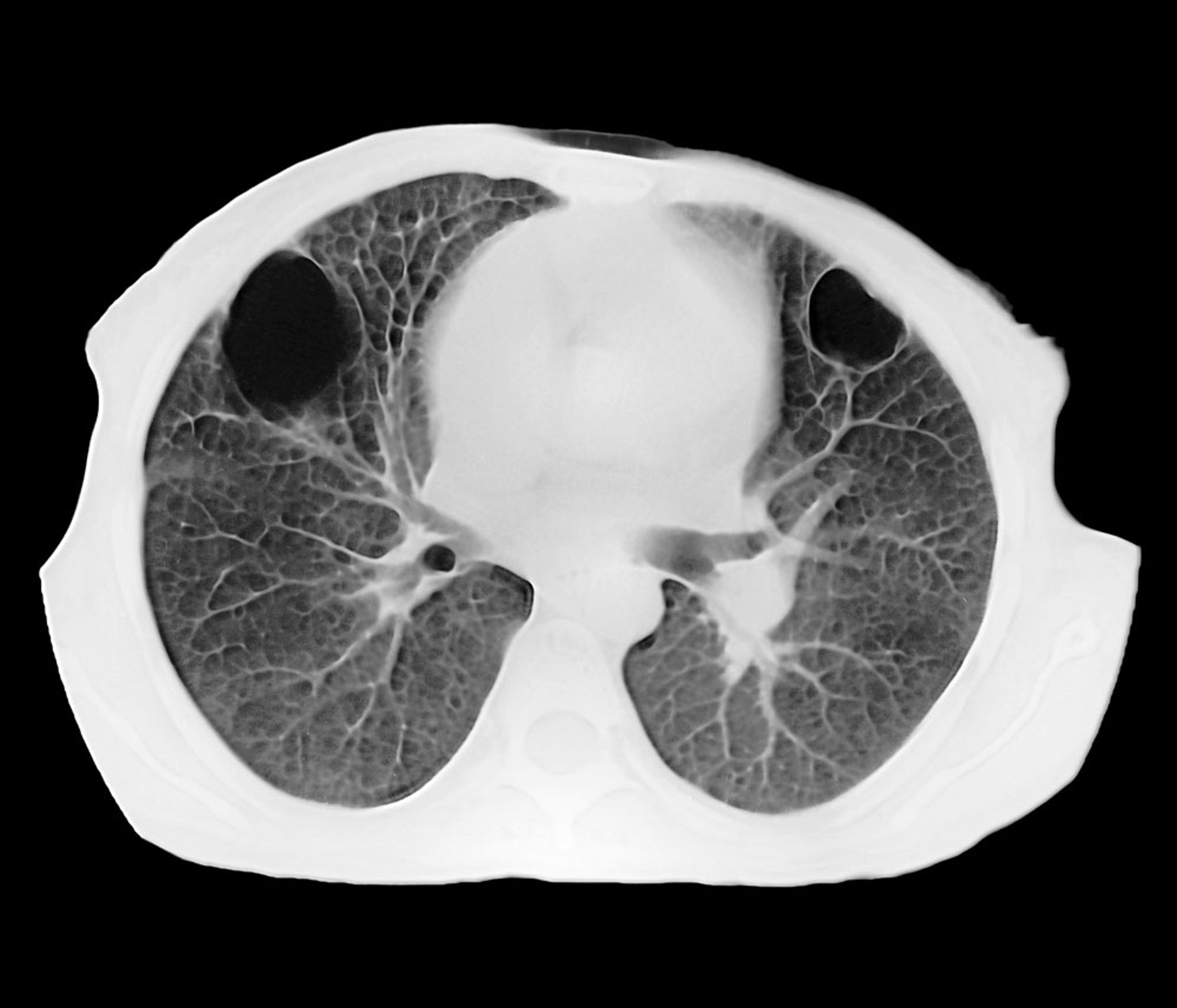
Esta TC axial mostra 2 abscessos pulmonares parenquimatosos bem delimitados nos lobos anterior direito e esquerdo. O interior preto corresponde a um acúmulo de pus.
ZEPHYR/SCIENCE PHOTO LIBRARY
Nesses tópicos
Esta TC axial mostra 2 abscessos pulmonares parenquimatosos bem delimitados nos lobos anterior direito e esquerdo. O interior preto corresponde a um acúmulo de pus.
ZEPHYR/SCIENCE PHOTO LIBRARY