Meningoencefalite amebiana primária é uma infecção aguda rara e geralmente fatal do sistema nervoso central (SNC), causada pela ameba de vida livre Naegleria fowleri. Os sintomas incluem alterações neurológicas e geralmente uma rápida evolução para óbito. O diagnóstico é principalmente por análise do líquido cefalorraquidiano. O tratamento é feito com miltefosina e outros fármacos.
Naegleria fowleri habita o solo e corpos de água quente e doce em todo o mundo; não vive em água salgada. N. fowleri também pode viver em fontes termais, em água morna liberada por indústrias ou em piscinas mal mantidas com pouca ou nenhuma cloração. Pode até crescer em aquecedores de água a temperaturas de até 46 °C e sobreviver por períodos curtos em temperaturas ainda mais altas.
Nos Estados Unidos, a maioria das infecções ocorre em estados do sul após exposição a água doce morna em lagos e rios no verão (1).
O ato de nadar em água contaminada expõe a mucosa nasal ao microrganismo, o qual pode entrar no sistema nervoso central pelo epitélio do nervo olfatório e pela placa cribriforme. A maioria dos pacientes é composta de crianças saudáveis ou adultos jovens.
Referência geral
1. Centers for Disease Control and Prevention (CDC). About Naegleria fowleri Infections. Accessed March 24, 2025.
Fisiopatologia da meningoencefalite amebiana primária
O ciclo de vida de N. fowleri envolve 3 fases: cistos, trofozoítos (a forma infecciosa) e flagelados.
Os trofozoítos podem entrar no corpo através da mucosa nasal. Eles então migram para o cérebro (após penetrar a lâmina cribriforme) através dos nervos olfatórios onde causam meningoencefalite amébica primária.
Em pacientes infectados, trofozoítos são encontrados no líquido cefalorraquidiano (LCR) e tecidos, e flagelados são ocasionalmente encontrados no LCR. Cistos não são observados no tecido cerebral.
1–3. O ciclo de vida de N. fowleri tem 3 estágios: cistos, trofozoítos, flagelados.
4. Os trofozoítos se replicam por promitose (a membrana nuclear permanece intacta).
5–6. Os trofozoítos são a forma infectante. Eles podem se transformar em flagelados temporários que não se alimentam e geralmente voltam à forma de trofozoítos. Os trofozoítos infectam humanos ou animais penetrando a mucosa nasal, geralmente durante natação ou irrigação sinusal (5), e migrando para o cérebro (6) através dos nervos olfatórios, causando meningoencefalite amébica primária (MAP). Trofozoítos são encontrados no líquido cefalorraquidiano (LCR) e tecido, enquanto flagelados são ocasionalmente encontrados no LCR. Cistos não são vistos no tecido cerebral.
Image from the Centers for Disease Control and Prevention, Global Health, Division of Parasitic Diseases and Malaria.
Sinais e sintomas da meningoencefalite amebiana primária
Os sinais e sintomas da meningocefalite amébica primária começam em 1 a 2 semanas após a exposição, algumas vezes com alteração do olfato e gustação.
À meningoencefalite fulminante seguem-se cefaleia, meningismo e alteração do estado mental, progredindo para a morte dentro de 10 dias, normalmente por herniação cerebral. Somente alguns pacientes sobreviveram.
Diagnóstico de meningoencefalite amebiana primária
Exame do líquido cefalorraquidiano (LCR)
Suspeita de meningoencefalite amebiana primária pela história de natação em água doce, mas a confirmação é difícil porque a TC, RM e os exames de rotina do LCR, embora necessários para excluir outras causas, são inespecíficos. Os achados de imagem geralmente mostram edema cerebral, hidrocefalia e realce meníngeo.
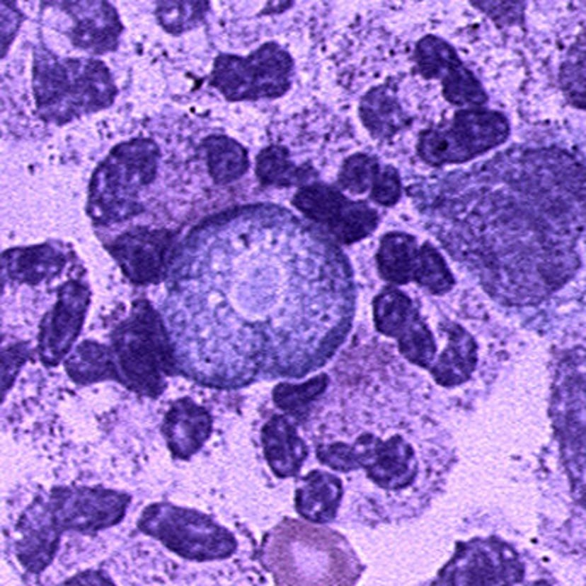
Deve-se realizar uma montagem úmida do LCR fresco (não refrigerado ou congelado) o mais rápido possível; esse exame pode demonstrar trofozoítos amebianos móveis (que podem ser visualizados em amostras coradas com Giemsa e com hematoxilina e eosina, mas são destruídos pelas técnicas de coloração de Gram).
Esta imagem mostra um trofozoíto de N. fowleri no líquido cefalorraquidiano corado com hematoxilina e eosina.
CDC/DPDx
Ensaios imuno-histoquímicos, cultura de ameba e PCR (polymerase chain reaction) do LCR e/ou biópsia cerebral estão disponíveis nos laboratórios de referência especializados. Consultation with the Centers for Disease Control and Prevention (CDC) recomenda-se consulta ao Centros de Controle e Prevenção de Doenças (CDC) ou outros especialistas no diagnóstico de encefalite amebiana.
Tratamento da meningoencefalite amebiana primária
Vários fármacos, como miltefosina junto com antifúngicos e antibióticos
O tratamento ideal não está claro, mas deve ser iniciado assim que possível. Recomenda-se consultar especialistas do CDC [Consultation with the Centers for Disease Control and Prevention (CDC)].
Esquemas de tratamento devem incluir miltefosina, um fármaco leishmanicida que tem sido utilizado com sucesso em combinação com outros fármacos para tratar pacientes com meningoencefalite amebiana primária. Miltefosina também foi utilizada com sucesso para tratar a encefalite decorrente de Balamuthia, Sappinia, e Acanthamoeba; está disponível comercialmente. Apesar da possibilidade de a miltefosina causar anomalias congênitas, pode ser considerada para gestantes porque a meningoencefalite amébica primária é geralmente fatal sem tratamento; portanto, os benefícios potenciais da terapia podem superar os riscos para o feto.
Outros antimicrobianos que foram utilizados em esquemas de tratamento combinado contra Naegleria incluem os seguintes:
Anfotericina B
Rifampina
Um azol (fluconazol, voriconazol ou cetoconazol)
Azitromicina ou minociclina
A nitroxolina é uma droga investigacional que pode ser eficaz como parte da terapia combinada. Nos Estados Unidos, está disponível junto ao CDC (1).
Os anticonvulsivantes e a dexametasona costumam ser necessários para controlar as convulsões e o edema cerebral (2). A administração IV de manitol ou solução salina hipertônica pode ser necessária para alcançar o controle. O tratamento agressivo do edema cerebral com hipotermia terapêutica (resfriamento do corpo abaixo da temperatura corporal normal) também foi associado à sobrevida e recuperação neurológica nos poucos pacientes que sobreviveram (3).
Referências sobre tratamento
1. Chao-Pellicer J, Arberas-Jiménez I, Fuchs F, et al. Repurposing of Nitroxoline as an Alternative Primary Amoebic Meningoencephalitis Treatment. Antibiotics (Basel). 2023;12(8):1280. Published 2023 Aug 3. doi:10.3390/antibiotics12081280
2. Anwar A, Rajendran K, Siddiqui R, Raza Shah M, Khan NA. Clinically Approved Drugs against CNS Diseases as Potential Therapeutic Agents To Target Brain-Eating Amoebae. ACS Chem Neurosci. 2019;10(1):658-666. doi:10.1021/acschemneuro.8b00484
3. Pugh JJ, Levy RA. Naegleria fowleri: Diagnosis, Pathophysiology of Brain Inflammation, and Antimicrobial Treatments. ACS Chem Neurosci. 2016;7(9):1178-1179. doi:10.1021/acschemneuro.6b00232
Pontos-chave
A meningoencefalite amebiana primária é rara e geralmente fatal.
A infecção pode ser adquirida ao nadar em água doce contaminada; a Naegleria fowleri penetra no sistema nervoso central pelo neuroepitélio olfatório e a placa cribriforme.
Os exames diagnósticos devem incluir exame a fresco e amostra de líquido cefalorraquidiano corada com Giemsa; biópsia cerebral e imuno-histoquímica podem ser necessárias para confirmação do diagnóstico.
Tratar a infecção com múltiplos antimicrobianos, incluindo miltefosina; se necessário, tratar as convulsões e o edema cerebral com anticonvulsivantes e dexametasona.
A sobrevida é rara, mas foi atribuída ao diagnóstico e tratamento precoces, em combinação com um tratamento agressivo do edema cerebral.



