Estenose do canal vertebral lombar (ECVL) é o estreitamento do canal vertebral lombar que causa compressão das radículas e raízes nervosas na cauda equina antes de sua saída pelos forames. Ela causa dor lombar posicional, sintomas de compressão da raiz nervosa no forame, e dor nos membros inferiores ao andar ou suportar peso.
(Ver também Avaliação da dor cervical e lombar.)
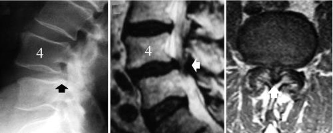
A estenose medular pode ser congênita ou adquirida. Isso pode envolver as colunas cervical ou lombar. A estenose espinal lombar frequentemente ocorre devido ao aumento do ligamento amarelo, ao alargamento das articulações facetárias e às protrusões discais amplamente distribuídas. A maioria das causas de estenose medular lombar são ostoartrite, doença discal degenerativa, espondilose e espondilolistese com compressão da cauda equina. Outras causas incluem doença de Paget óssea.
Sinais e sintomas da estenose espinal lombar
Em paciente com estenose espinal lombar, ocorre dor na região glútea, nas coxas ou nas panturrilhas ao andar, correr, subir escadas ou mesmo ao ficar em pé. Essa dor causa claudicação neurogênica. A dor não é aliviada apenas por ficar de pé, mas por flexão da região lombar e por sentar-se (embora a parestesia possa continuar) porque, como no canal cervical, o canal lombar é maior em flexão e menor em extensão. Assim, os pacientes frequentemente experimentam algum alívio ao empurrar um carrinho de compras ou usar um andador com rodinhas porque as costas ficam levemente flexionadas. Da mesma forma, subir ladeiras é menos doloroso do que descer ladeiras. Podem ocorrer dores, parestesias, fraqueza e diminuição dos reflexos na distribuição da raiz nervosa afetada.
Raramente, a compressão repentina das raízes dos nervos espinais resultante de EEL ou de uma grande hérnia de disco grande pode causar síndrome da cauda equina com paresia distal nas pernas e perda sensorial no interior e ao redor do períneo e do ânus (anestesia em sela), além de disfunção vesical, intestinal e pudenda; diferentemente da lesão medular, o tônus muscular e os reflexos profundos do tendão diminuem nas pernas.
Diagnóstico da estenose espinal lombar
Avaliação clínica
Às vezes RM, estudos eletrodiagnósticos ou ambos
© Springer Science+Business Media
Suspeita-se de estenose medular conforme os sintomas característicos de dor que piora aos esforços (claudicação neurogênica) e melhora na posição sentada e/ou com a flexão das costas. A força muscular costuma ser mantida, mas pode haver fraqueza focal, perda sensitiva e reflexos tendinosos profundos diminuídos.
Os sintomas nas panturrilhas podem simular a claudicação vascular intermitente. A claudicação vascular pode ser diferenciada por alívio com o repouso (não mudança de posição), atrofia da pele e anormalidades nos pulsos, além de preenchimento capilar e testes vasculares.
Os exames diagnósticos para estenose espinal lombar, quando necessários, são os mesmos que para a radiculopatia lombossacral, incluindo RM ou TC e estudos eletrodiagnósticos.
Tratamento da estenose espinal lombar
Atividades conforme tolerado, analgesia e algumas vezes medicamentos que aliviam a dor neuropática
Fisioterapia
Possivelmente, injeções epidurais de corticoides
Cirurgia para casos graves
Em pacientes com estenose espinal lombar, os tratamentos conservadores e as indicações para cirurgia são similares àqueles com radiculopatia lombossacral.
Injeções peridurais de corticoides algumas vezes propiciam um alívio transitório. Nos pacientes sintomáticos que não são bons candidatos à intervenção cirúrgica, a combinação de injeções peridurais e fisioterapia pode resultar em alguma melhora dos sintomas.
A cirurgia para estenose medular avançada é feita pela descompressão do sequestro da raiz nervosa pels invasões do canal medular e dos forames vertebrais, algumas vezes com indicação de laminectomia em 2 ou 3 níveis e foraminotomia; por vezes, cirurgia de fusão.
A estabilidade medular deve ser preservada. Pode-se indicar a fusão da coluna se houver instabilidade ou alterações artríticas graves bem localizadas em 1 ou 2 interespaços vertebrais, embora alguns estudos destaquem a natureza controversa dessa abordagem (1, 2).
Referências sobre tratamento
1. Försth P, Olafsson G, Carlsson T, et al. A randomized, controlled trial of fusion surgery for lumbar spinal stenosis. N Engl J Med. 374:1413-1423, 2016. doi: 10.1056/NEJMoa1513721
2. Ghogawala Z, Dziura J, Butler WE, et al. Laminectomy plus fusion versus laminectomy alone for lumbar spondylolisthesis. N Engl J Med. 374:1424-1434, 2016. doi: 10.1056/NEJMoa1508788
Pontos-chave
A estenose espinal lombar frequentemente ocorre devido ao aumento do ligamento amarelo, ao alargamento das articulações facetárias e às protrusões discais amplamente distribuídas.
A maioria das causas são osteoartrite, doenças discais degenerativas, espondilose e espondilolistese com compressão da cauda equina.
Os sintomas incluem dor na região glútea, coxas ou panturrilhas que piora ao ficar em pé e andar e é aliviada ao se inclinar para a frente, o que é chamado de claudicação neurogênica.
Diagnosticar com base nos sintomas característicos, juntamente com RM, estudos eletrodiagnósticos ou ambos.
Recomendar analgésicos, atividade leve conforme tolerada e fisioterapia; entretanto, se a dor ou os déficits forem graves ou piorarem, considerar procedimentos cirúrgicos.



