Gengivite ulcerativa necrosante aguda
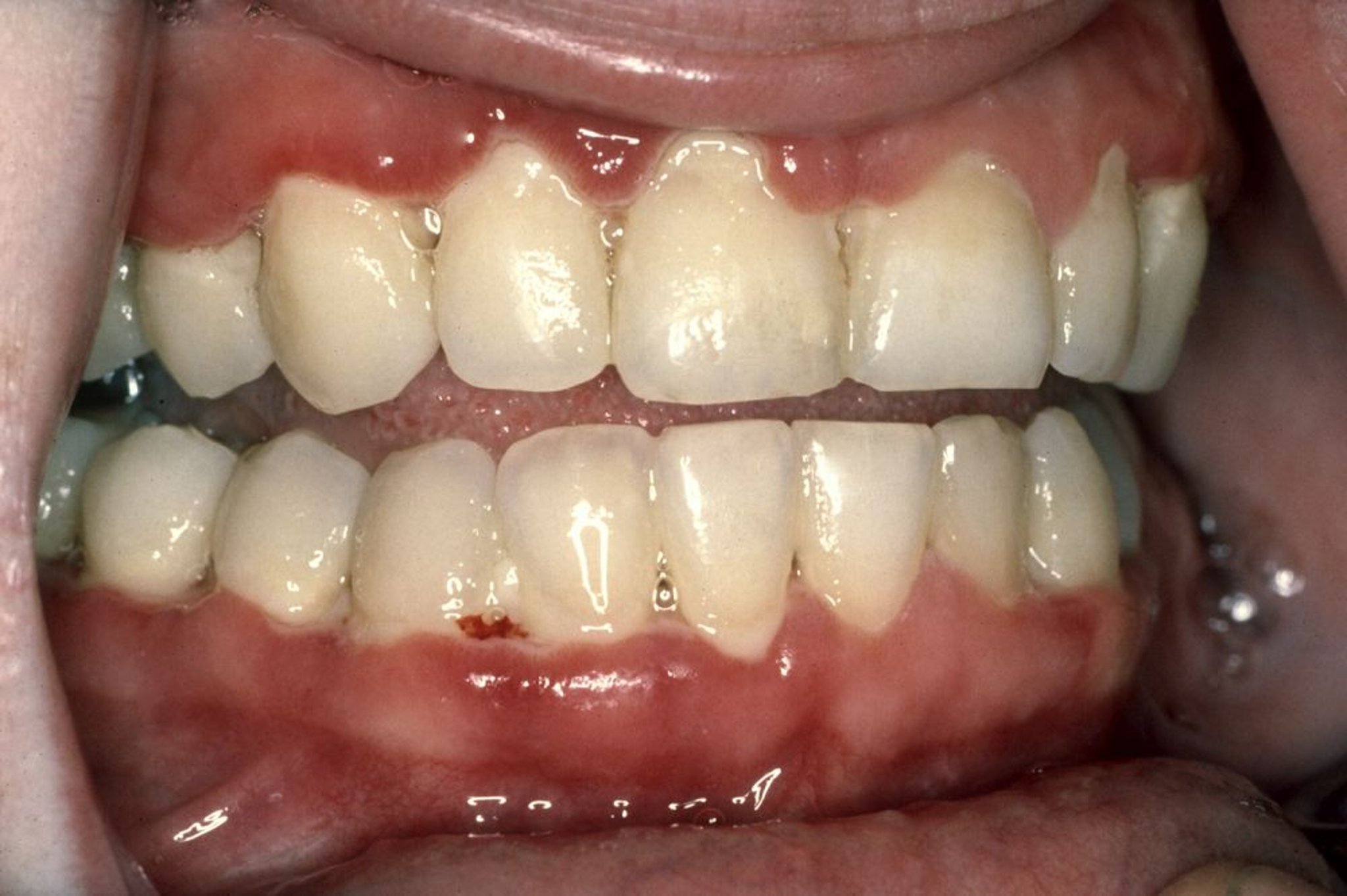
A gengivite ulcerativa necrosante aguda (GUNA) caracteriza-se por gengivas doloridas que sangram com facilidade, erosão e morte do tecido gengival entre os dentes e hálito fétido. Nesta fotografia, o tecido da gengiva é vermelho vivo. Mais bem visualizada ao longo da parte frontal inferior da linha gengival, há também uma linha fina de tecido morto cinza (pseudomembrana) que sangra com facilidade.
Fotografia fornecida por cortesia de Craig Fowler, DDS
Nesses tópicos
