honeypot link
skip to main content
MSDManual MSDVersão Saúde para a Família
ASSUNTOS MÉDICOS VIVER COM SAÚDESINTOMASEMERGÊNCIASRECURSOSCOMENTÁRIOSOBRE
homeASSUNTOS MÉDICOS VIVER COM SAÚDE
Search icon
  1. <Imagens
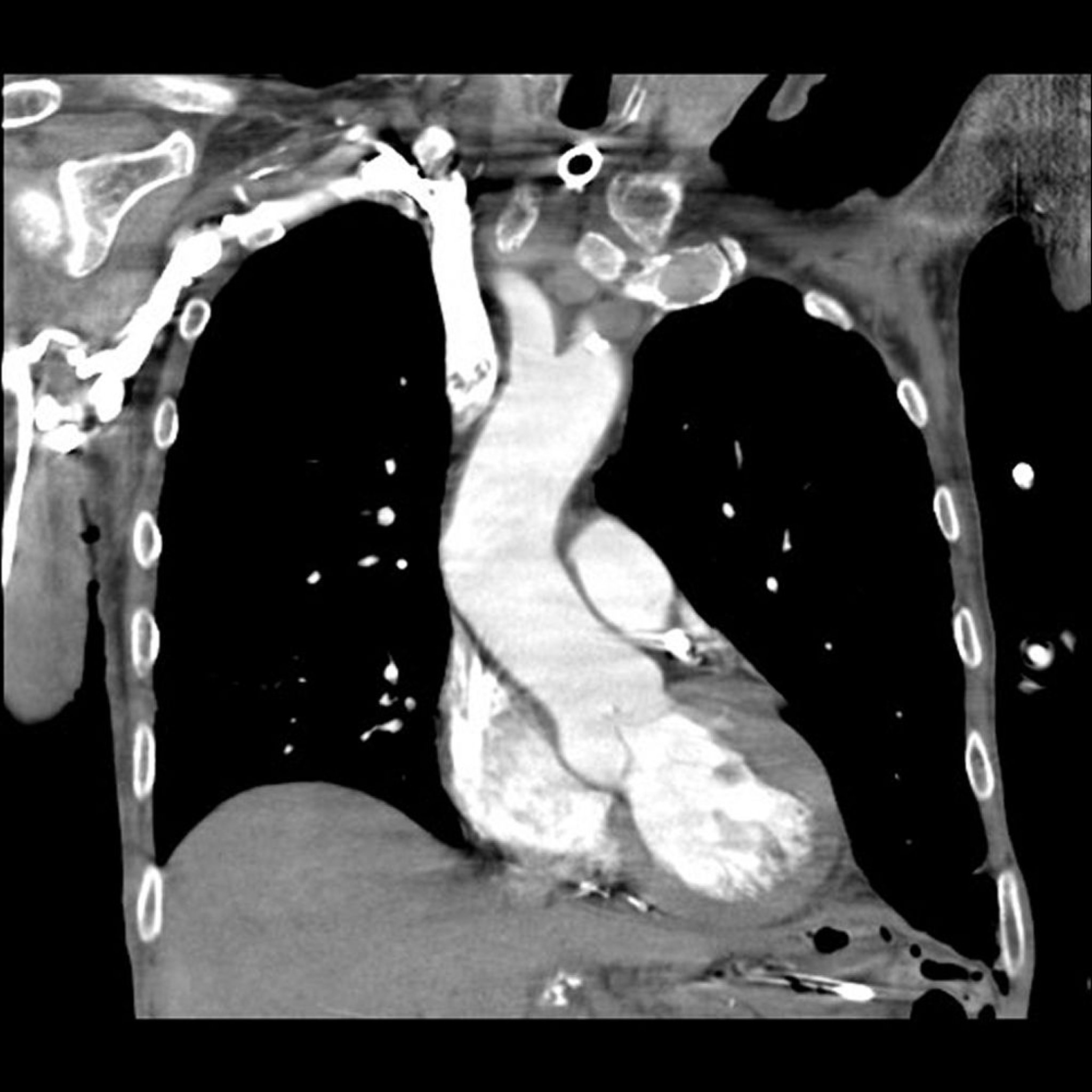
    Angiografia pulmonar por tomografia computadorizada (TC)

    Angiografia pulmonar por tomografia computadorizada (TC)

    Imagem fornecida pelo Dr. Mehmet Kocak.

    Nesses tópicos
    • Tomografia computadorizada (TC) >
    MSD
    • Sobre
    • Isenção de Responsabilidade
    • Autorizações
    • Privacidade
    • Cookie Preferences
    • Termos de utilização
    • Licenciamento
    • Fale conosco
    • Manual de veterinária (apenas inglês)
    MSD

    Direitos autorais© 2026Merck & Co., Inc., Rahway, NJ, EUA e suas afiliadas. Todos os direitos reservados.