Fournier Gangrene (Abdominal X-Ray)
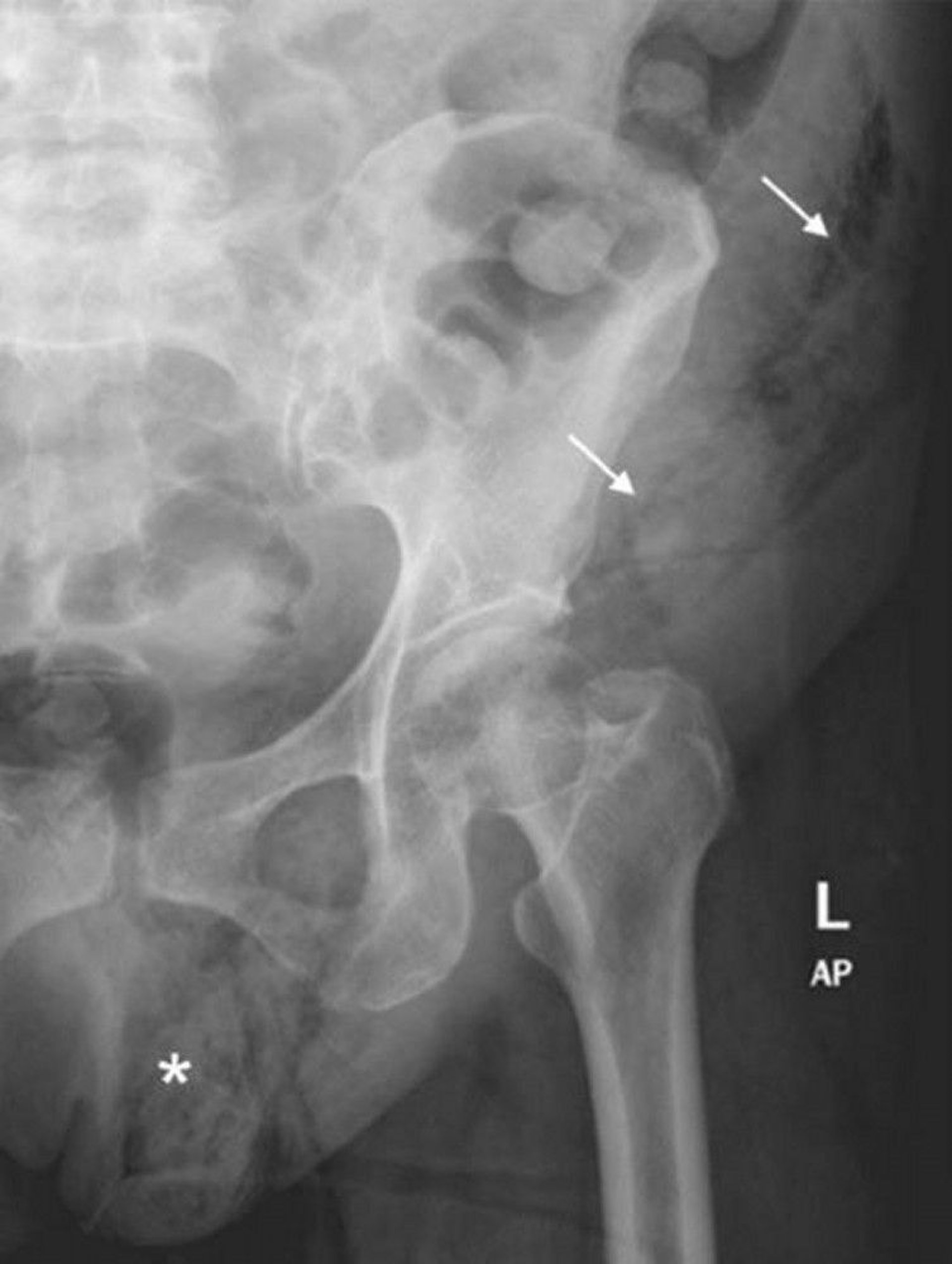
This abdominal x-ray shows an extension of soft-tissue gas from the left hemiscrotum (*) to the left abdominal wall (arrows).
© Springer Science+Business Media
In these topics
This abdominal x-ray shows an extension of soft-tissue gas from the left hemiscrotum (*) to the left abdominal wall (arrows).
© Springer Science+Business Media