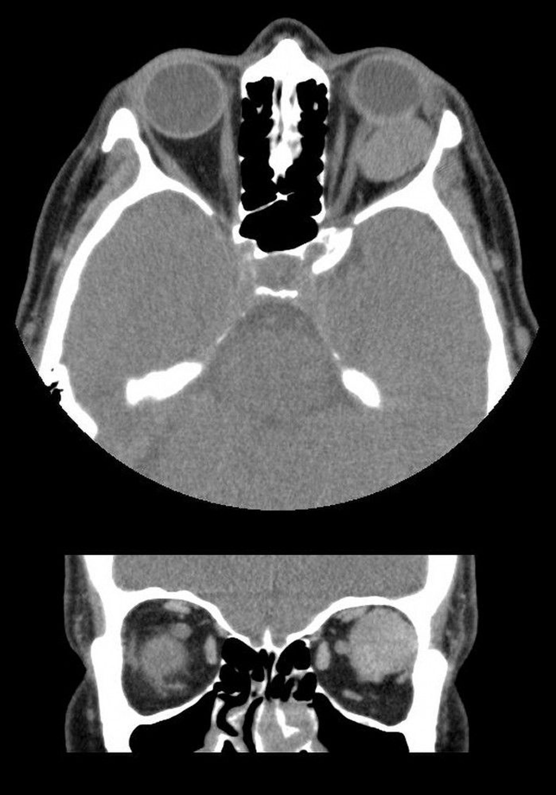
Cavernous Hemangioma
In this image, the axial (top) and coronal (bottom) CT scans show a well-demarcated intraconal mass behind the left globe. The mass is a cavernous venous malformation.
Images courtesy of James Garrity, MD.
In these topics
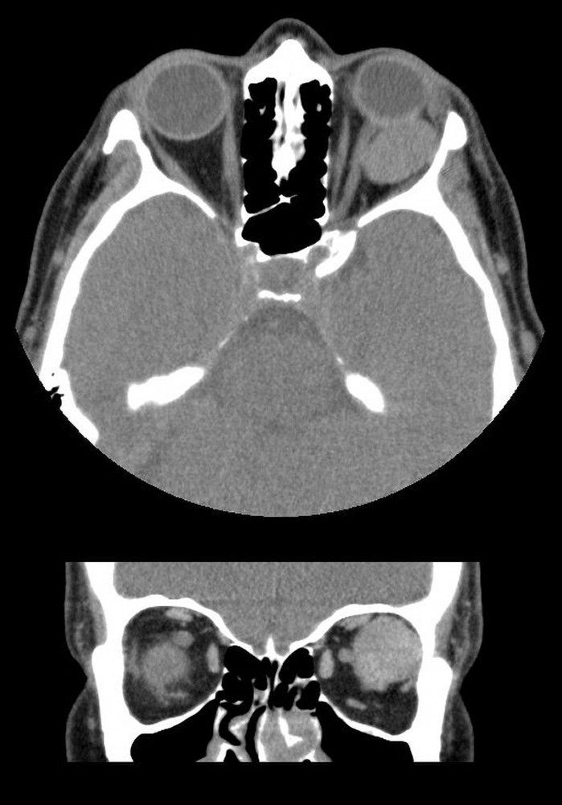
In this image, the axial (top) and coronal (bottom) CT scans show a well-demarcated intraconal mass behind the left globe. The mass is a cavernous venous malformation.
Images courtesy of James Garrity, MD.