Swollen Gums in Scurvy

Swollen Gums in Scurvy

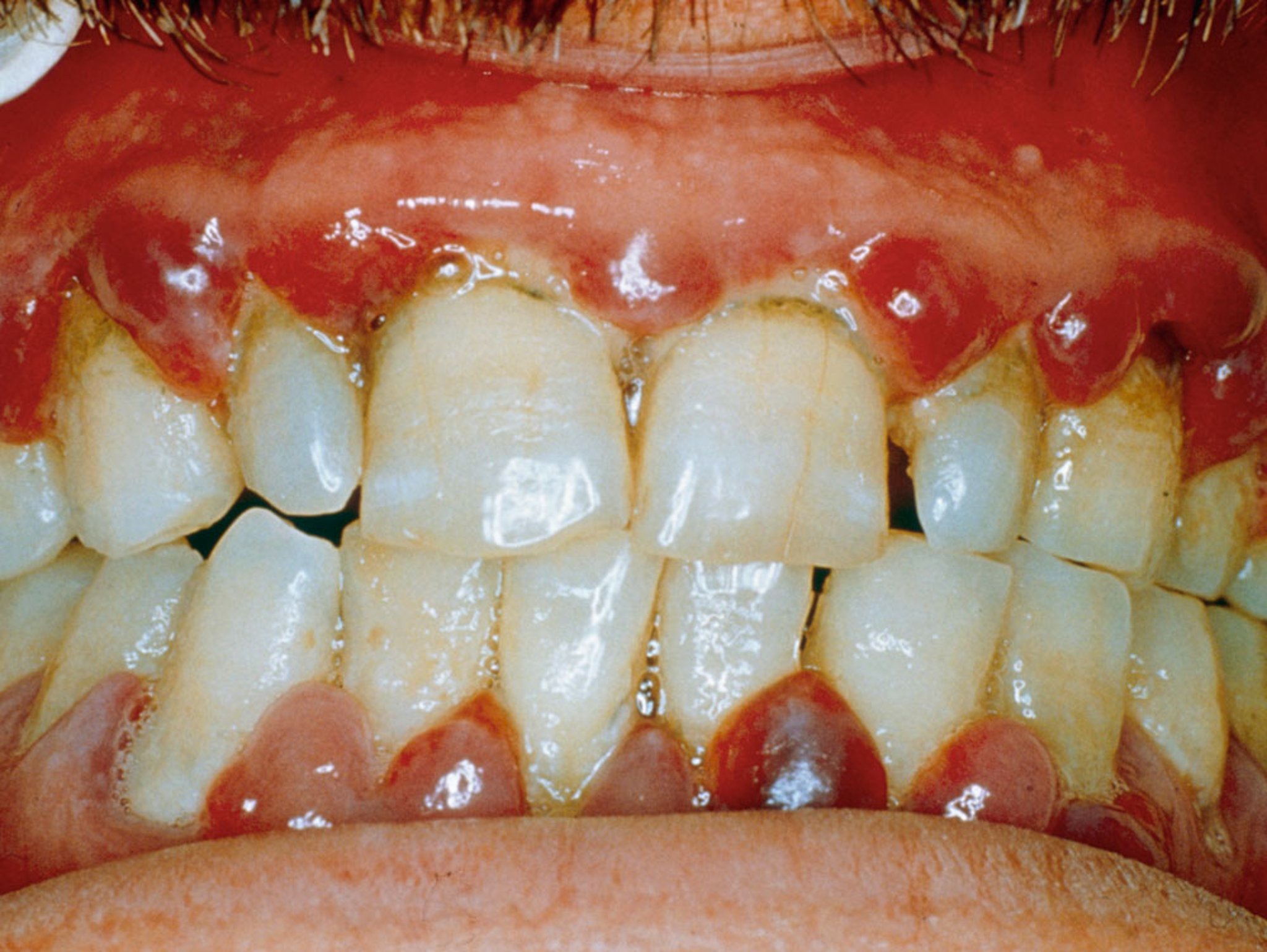
This photo shows swollen, purple gums in a person who has scurvy.

BIOPHOTO ASSOCIATES/SCIENCE PHOTO LIBRARY

이 주제에서