honeypot link
skip to main content
Msd 매뉴얼
일반인용
의학 주제
증상
응급 상황
자료
해설
소개
의학 주제
증상
<
이미지
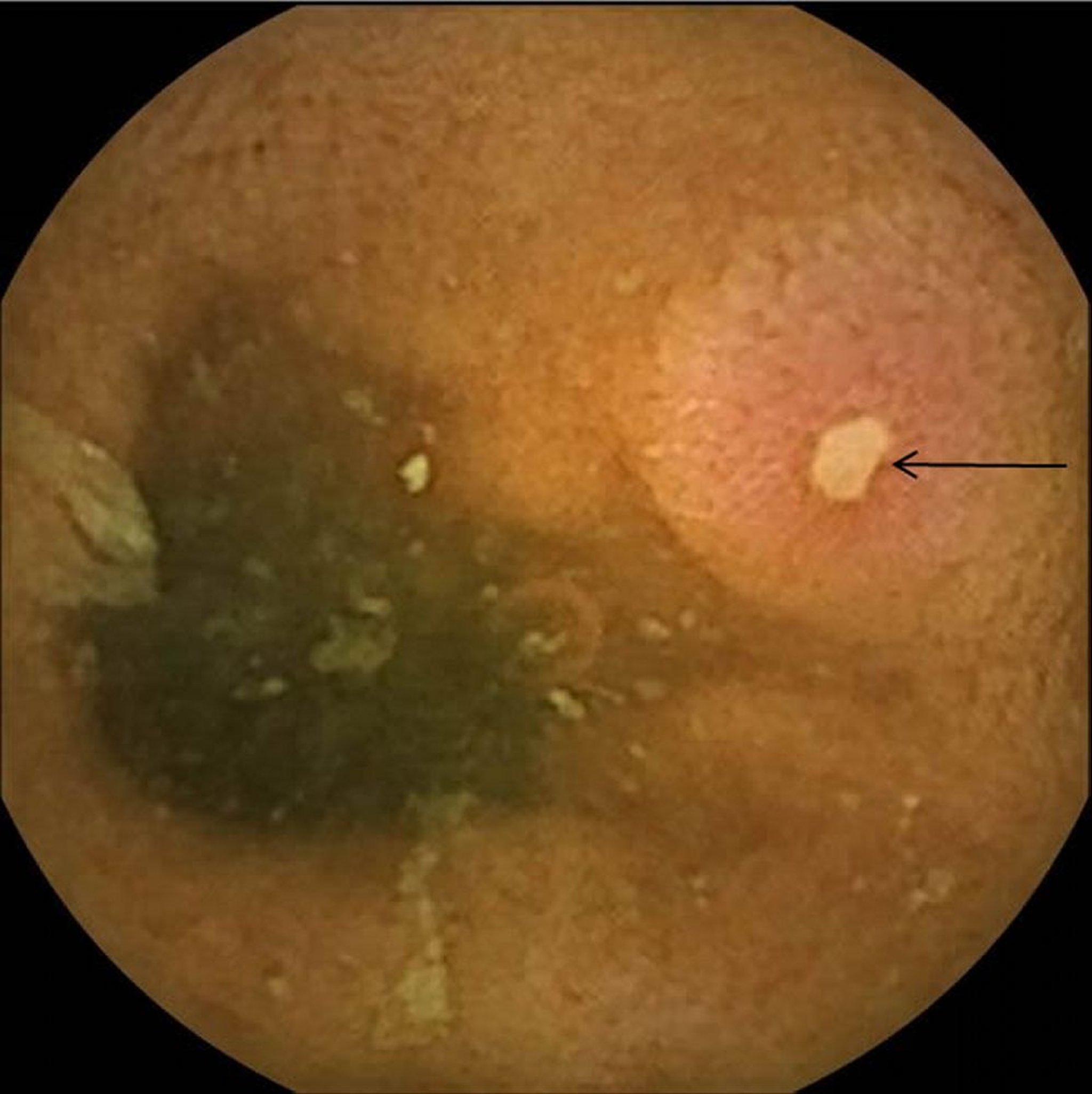
크론병에서의 궤양
이 사진은 크론병으로 인해 초래된 장의 작은 궤양(화살표)을 보여줍니다.
사진 제공: Aaron E. Walfish 및 Rafael A. Ching Companioni 박사.
이 주제에서
크론병
>