honeypot link
skip to main content
Msd 매뉴얼
일반인용
의학 주제
증상
응급 상황
자료
해설
소개
의학 주제
증상
<
이미지
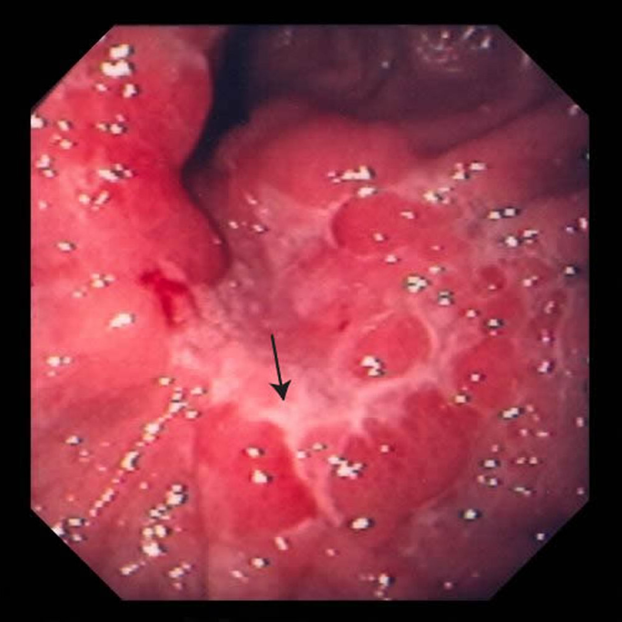
위암
이 사진은 위의 궤양(화살표)을 보여줍니다. 생검 후, 의사는 이를 샘암종이라 판단했습니다.
영상 제공: 의학박사 데이비드 M. 마틴(David M. Martin)
이 주제에서
위암
>