honeypot link
skip to main content
Msd 매뉴얼
일반인용
의학 주제
증상
응급 상황
자료
해설
소개
의학 주제
증상
<
이미지
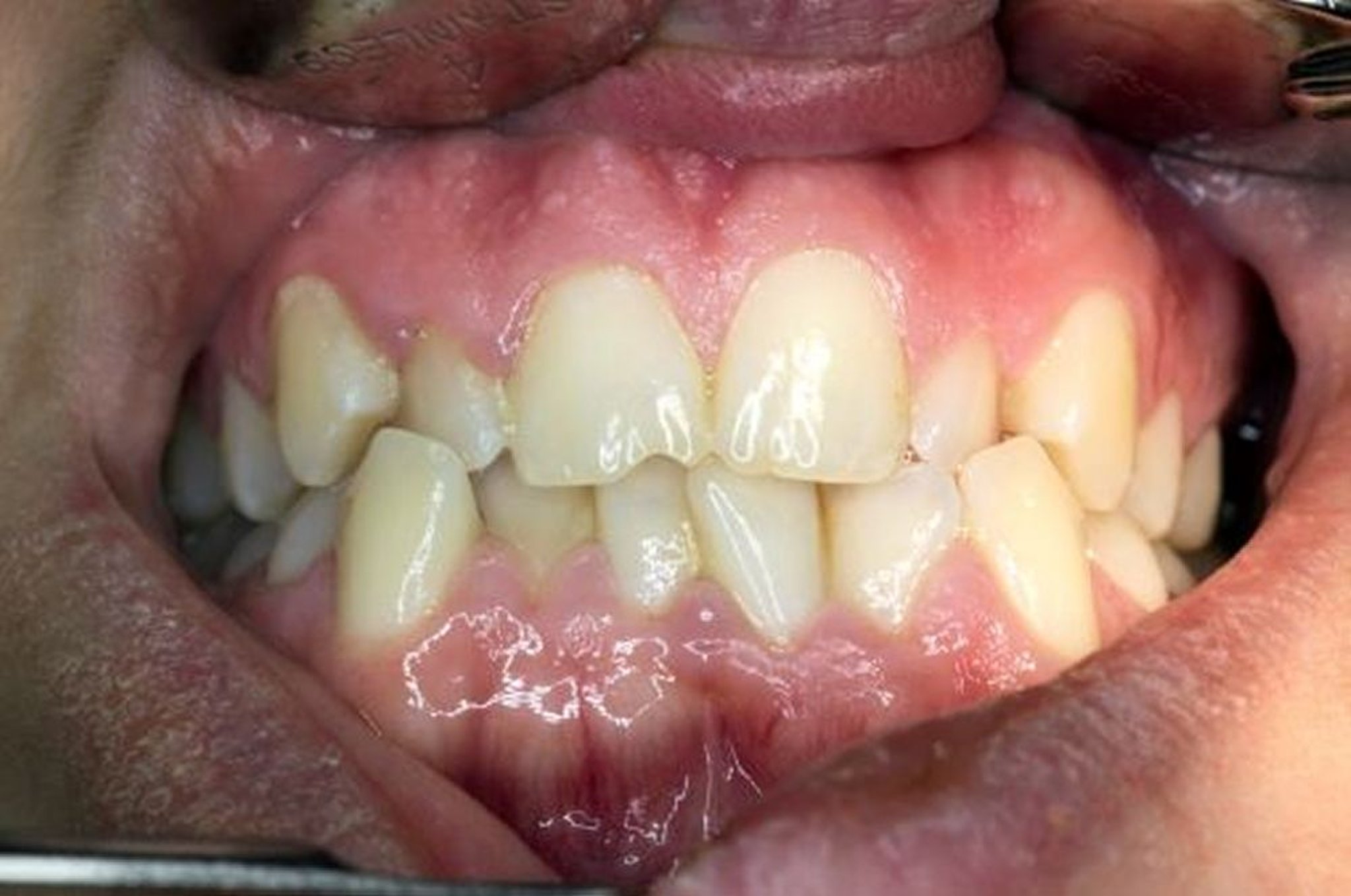
부정교합
턱이 닫히면서 상단과 상하악의 치아가 오정렬됩니다.
DR ARMEN TARANYAN/SCIENCE PHOTO LIBRARY
이 주제에서
부정교합
>