膠芽腫
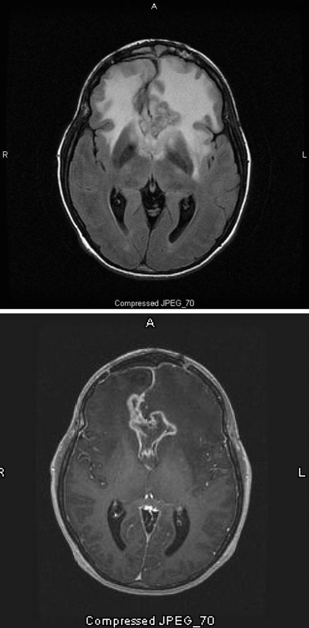
MRIのT2-FLAIR像(上)には,異型度および悪性度が最も高い星細胞腫である膠芽腫の周りに大きな両側性の白い(高信号)領域が認められる。この種類の膠芽腫は,腫瘍周囲の白い高信号域が蝶の羽形に見えることから特にbutterfly gliomaと呼ばれ,この変化は脳浮腫によって引き起こされる。MRIのT1強調画像(下)では,腫瘍の縁が造影されている(リング状造影効果)。浮腫はT1上で暗い(低信号)領域として現れる。
Images courtesy of William R.Shapiro, MD.
関連するトピック
