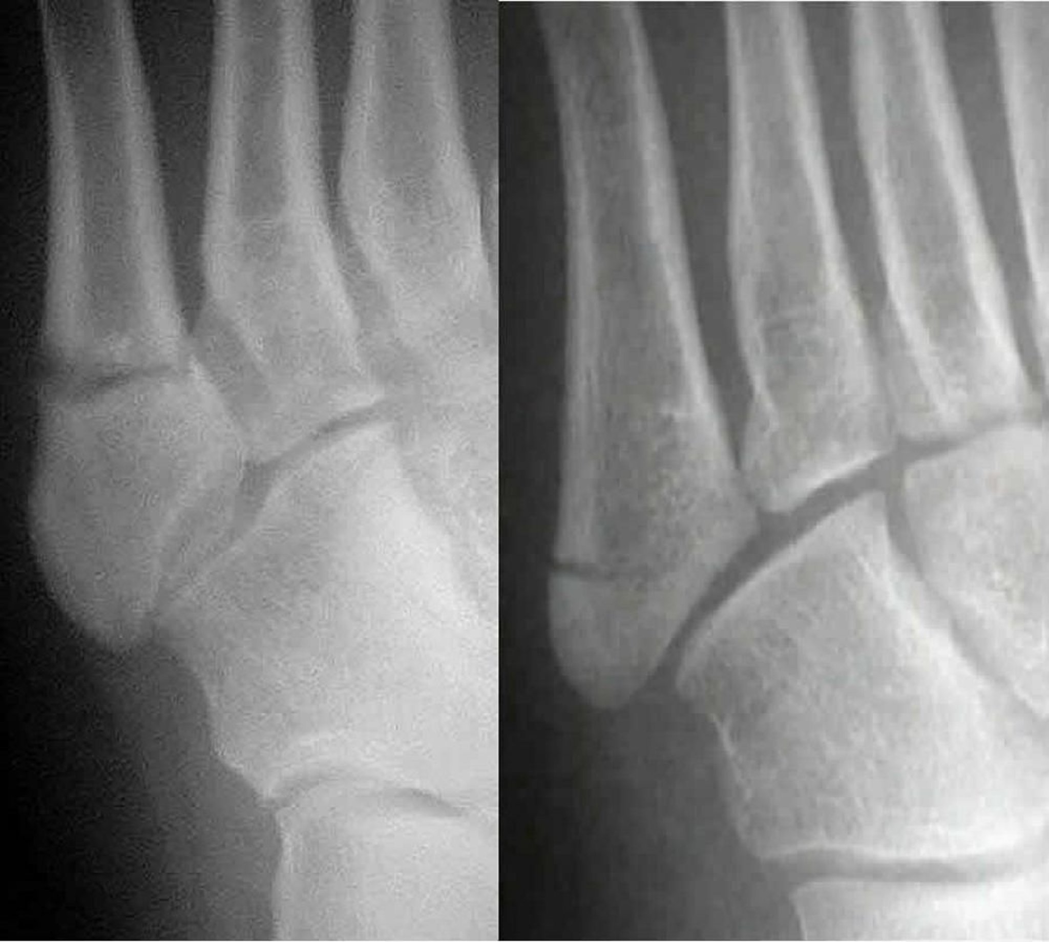
Jones骨折とpseudo-Jones骨折の比較
Jones骨折(左)では第5中足骨の骨幹部が骨折するが,pseudo-Jones骨折(右)では第5中足骨の基部が骨折する。治療法が異なるため,両者の鑑別が重要である。
Images courtesy of Danielle Campagne, MD.
関連するトピック
Jones骨折(左)では第5中足骨の骨幹部が骨折するが,pseudo-Jones骨折(右)では第5中足骨の基部が骨折する。治療法が異なるため,両者の鑑別が重要である。
Images courtesy of Danielle Campagne, MD.