honeypot link
skip to main content
プロフェッショナル版
家庭版
Msd マニュアル
プロフェッショナル版
医学事典
リソース
コラム
診察・手技ビデオ
クイズ
MSDマニュアルについて
医学事典
リソース
<
画像
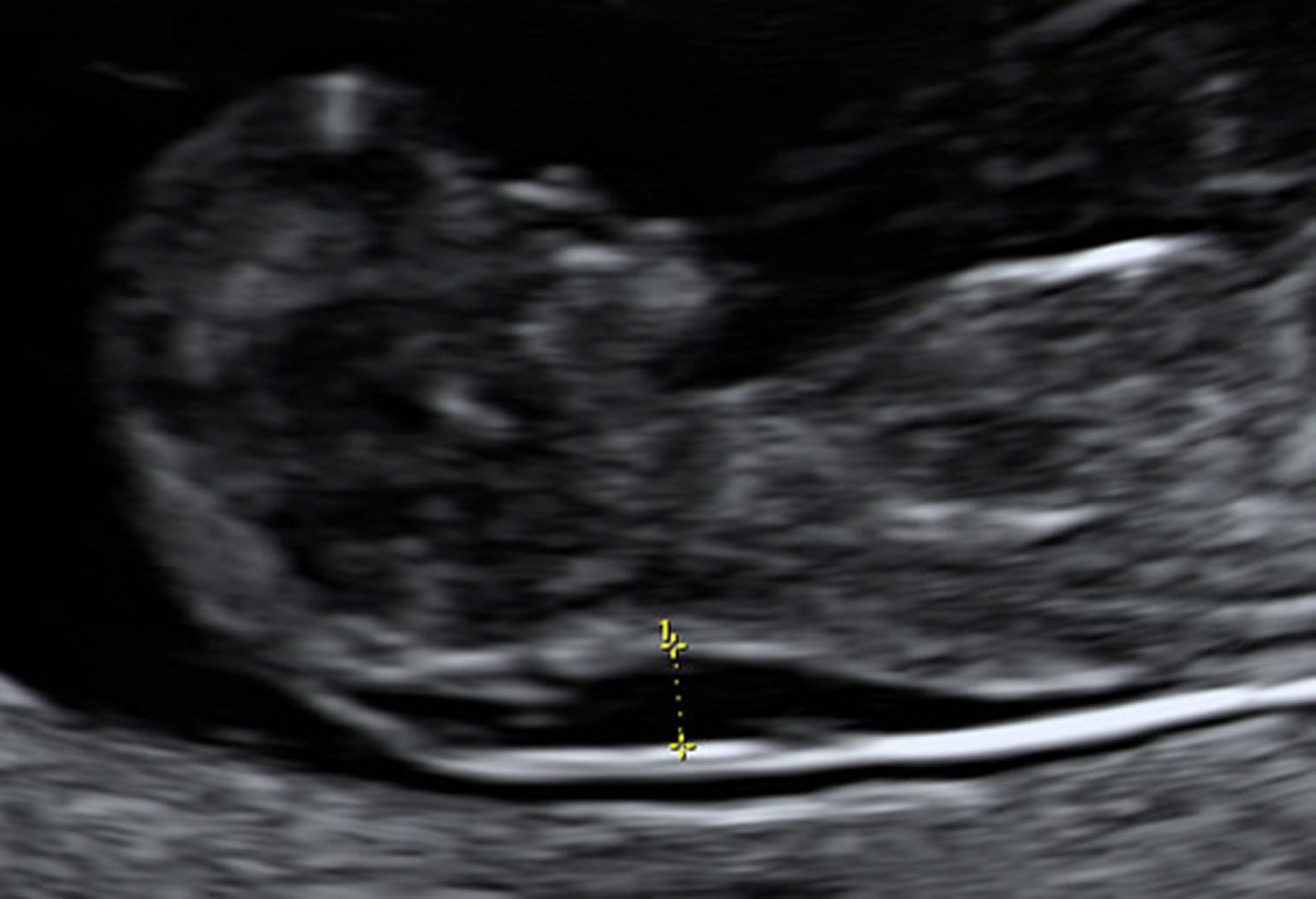
10週の胎児のNT肥厚を示す超音波所見
絨毛採取でこの胎児がダウン症候群であることが示された。
Photo from Jeffrey S.Dungan, MD.
関連するトピック
胎児の非侵襲的出生前スクリーニング検査
>