高シュウ酸尿症
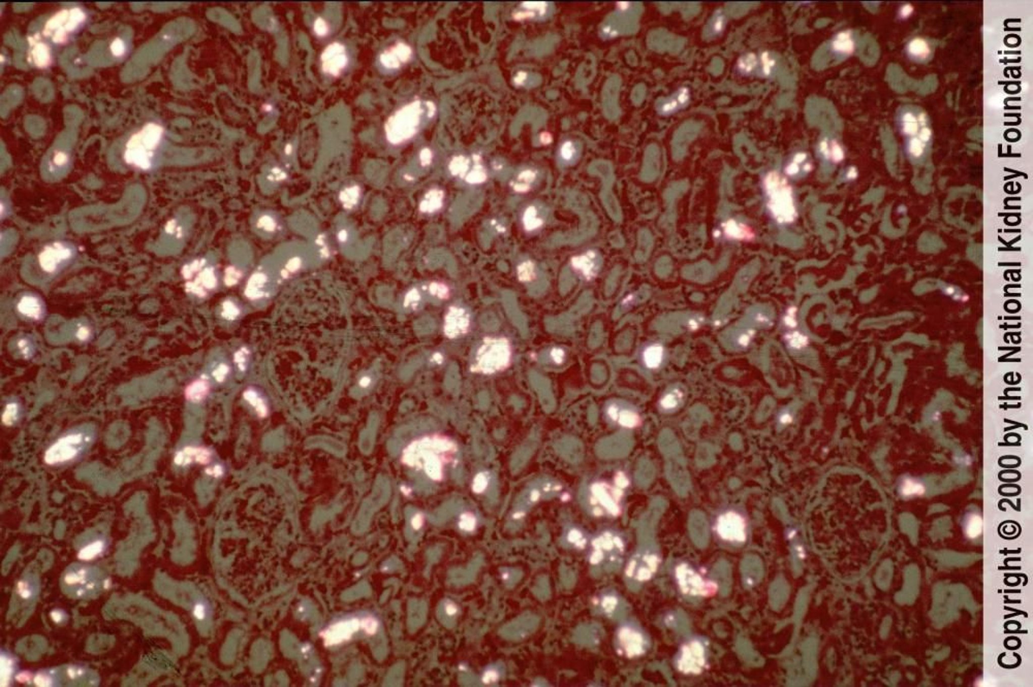
シュウ酸カルシウム結晶が尿細管に沈着し,偏光下では複屈折性の扇型または束型の結晶として容易に観察することができる(偏光ヘマトキシリン-エオジン染色,100倍)。
Image provided by Agnes Fogo, MD, and the American Journal of Kidney Diseases' Atlas of Renal Pathology (see www.ajkd.org).
関連するトピック
シュウ酸カルシウム結晶が尿細管に沈着し,偏光下では複屈折性の扇型または束型の結晶として容易に観察することができる(偏光ヘマトキシリン-エオジン染色,100倍)。
Image provided by Agnes Fogo, MD, and the American Journal of Kidney Diseases' Atlas of Renal Pathology (see www.ajkd.org).