honeypot link
skip to main content
プロフェッショナル版
家庭版
Msd マニュアル
プロフェッショナル版
医学事典
リソース
コラム
診察・手技ビデオ
クイズ
MSDマニュアルについて
医学事典
リソース
<
画像
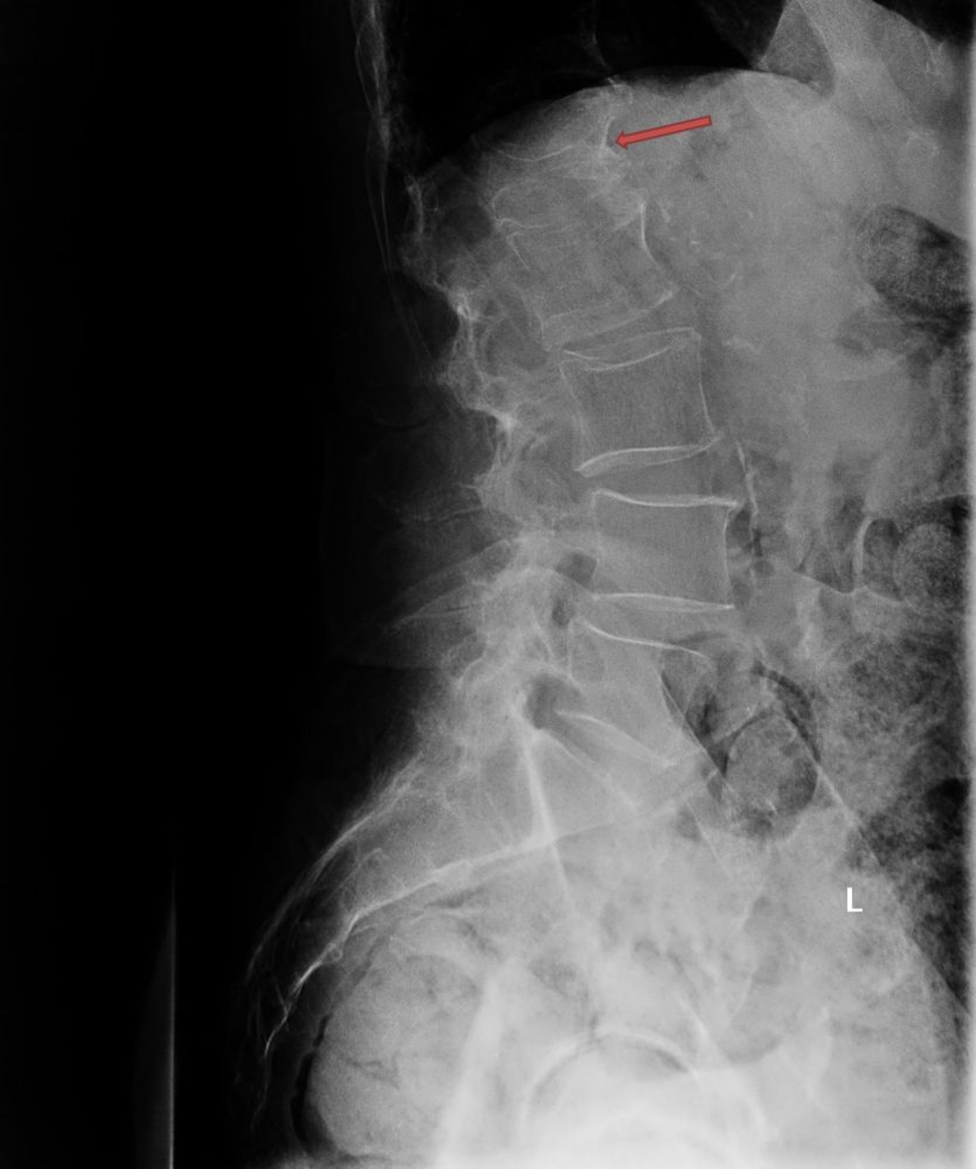
骨粗鬆症性圧迫骨折
このX線写真には,第1腰椎(L1;矢印)の重度の骨粗鬆症性圧迫骨折が写っている。
Photo courtesy of Marcy B.Bolster, MD.
関連するトピック
骨粗鬆症
>