骨盤の骨斑紋症
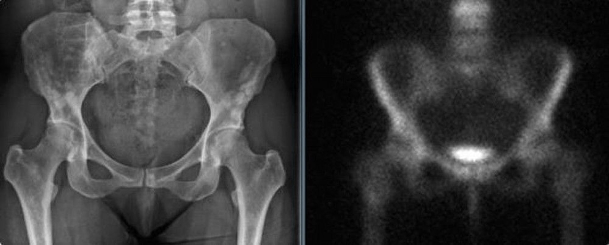
55歳女性の骨盤に生じた骨斑紋症のX線写真(転倒の可能性があった後に撮影)であり,陰影が乳房の造骨性転移と間違えられる可能性がある(左)。骨シンチグラフィーでは有意な集積亢進を認めない(右)。
Images courtesy of Michael J.Joyce, MD, and David M.Joyce, MD.
関連するトピック
55歳女性の骨盤に生じた骨斑紋症のX線写真(転倒の可能性があった後に撮影)であり,陰影が乳房の造骨性転移と間違えられる可能性がある(左)。骨シンチグラフィーでは有意な集積亢進を認めない(右)。
Images courtesy of Michael J.Joyce, MD, and David M.Joyce, MD.