骨のリンパ腫

骨のリンパ腫

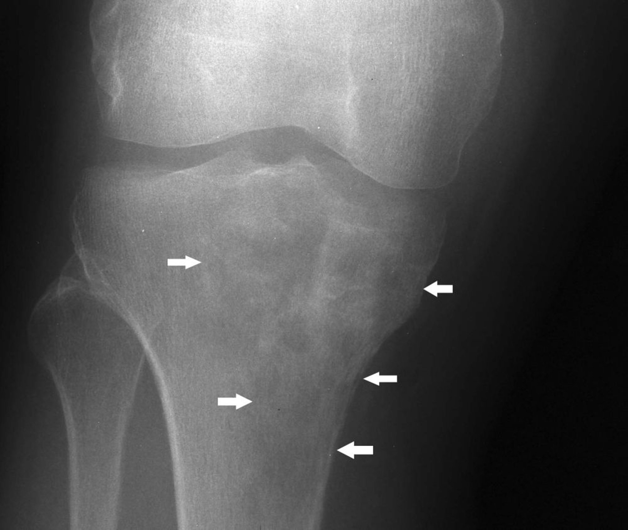
このX線写真では,膝関節下方の脛骨の中に,融解像と硬化像の混在したリンパ腫(矢印)が認められる。

Image courtesy of Michael J.Joyce, MD, and Hakan Ilaslan, MD.

関連するトピック