食道腺癌

食道腺癌

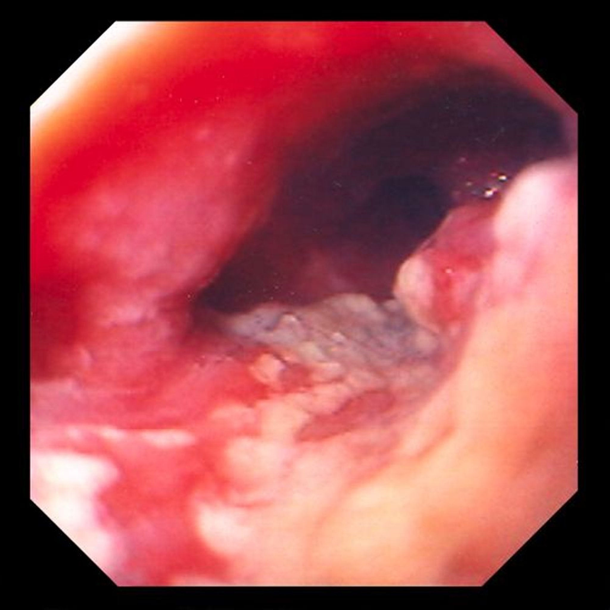
この画像には,下部食道の潰瘍を伴った狭窄性の腫瘍が写っており,円柱上皮の化生性変化(バレット食道)から発生した腺癌が強く示唆される。

Image provided by David M.Martin, MD.

関連するトピック