honeypot link
skip to main content
プロフェッショナル版
家庭版
Msd マニュアル
プロフェッショナル版
医学事典
リソース
コラム
診察・手技ビデオ
クイズ
MSDマニュアルについて
医学事典
リソース
<
画像
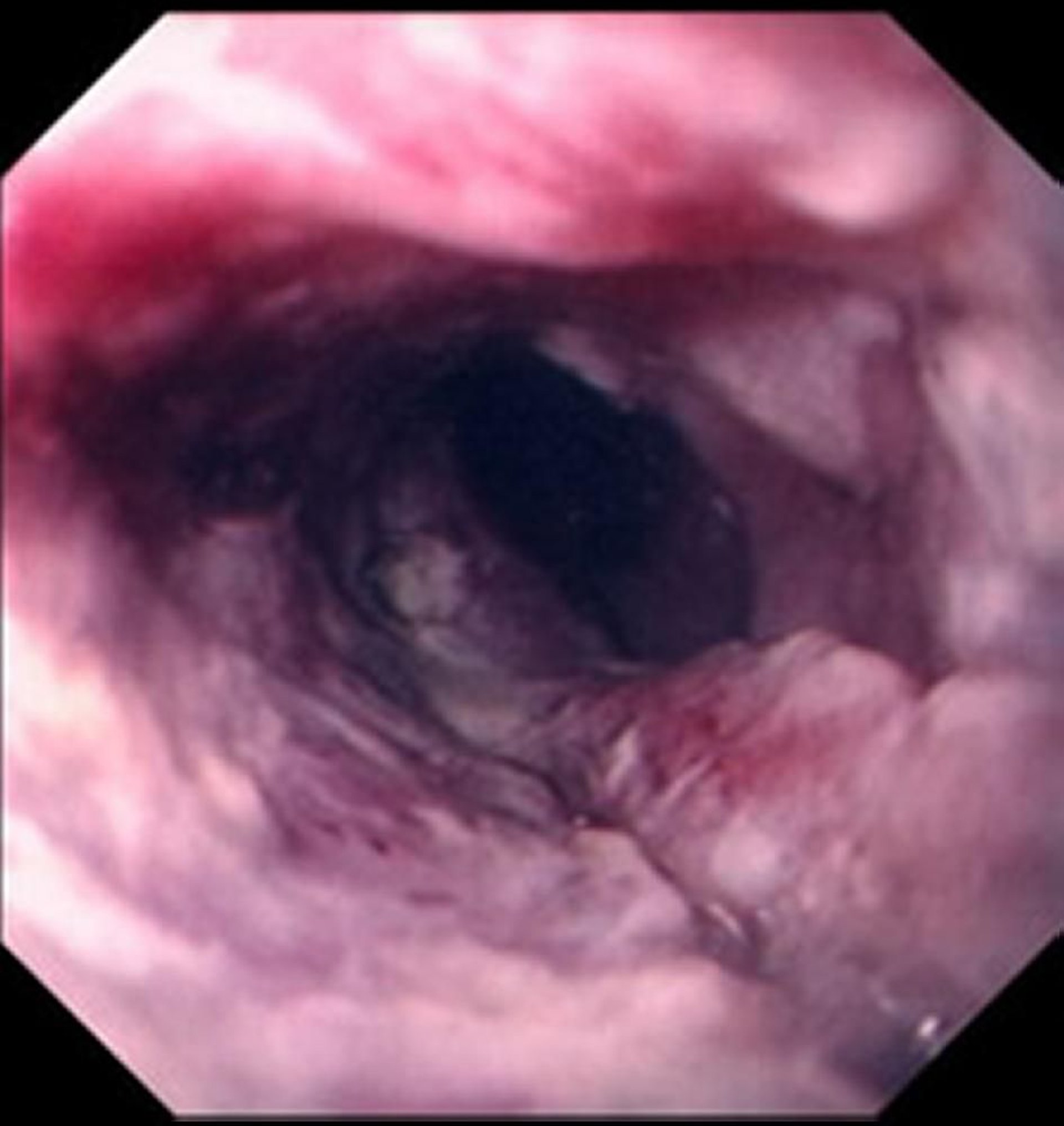
食道扁平上皮癌
扁平上皮癌は,典型的には潰瘍化した不整な腫瘤として現れ,食道内腔に障害をもたらす。
Images provided by David M.Martin, MD.
関連するトピック
食道癌
>