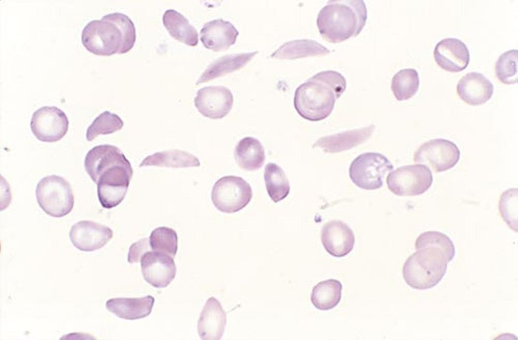
鎌状赤血球
By permission of the publisher.From Tefferi A, Li C.In Atlas of Clinical Hematology.Edited by JO Armitage.Philadelphia, Current Medicine, 2004.
関連するトピック
By permission of the publisher.From Tefferi A, Li C.In Atlas of Clinical Hematology.Edited by JO Armitage.Philadelphia, Current Medicine, 2004.